ITN has created a photo gallery designed to show the global impact of the novel coronavirus (COVID-19, SARS-CoV-2) in ...
Coronavirus (COVID-19)
This page contains medical information for clinicians on the 2019 Novel Coronavirus (COVID-19, also called 2019-nCoV and now clinically SARS‐CoV‐2). This section includes articles on medical imaging of the virus for radiologists, new technologies being deployed to fight the virus and clinical information from various sources. Here are direct links for medical professionals to COVID-19 resources from the U.S. Food and Drug Administration (FDA), Centers for Disease Control (CDC) and the World Health Organization (WHO). Daily world-wide statistics on the coronavirus outbreak are available from the WHO Situations Reports. Centers for Medicare and Medicaid Services (CMS) frequently asked questions and answers (FAQs) for healthcare providers regarding Medicare payment for laboratory tests and other services related to the COVID-19
April 7 2020 — Volpara Solutions announced it is collaborating with DetectED-X, an online radiology training and ...
April 7, 2020 — A multinational consensus statement from the Fleischner Society on the role of chest imaging in the ...
Members of the enterprise imaging technology community are facing significant changes in the market, due to the COVID-19 ...
April 7, 2020 — An international panel of cancer experts has recommended a one-week course of radiotherapy and delaying ...
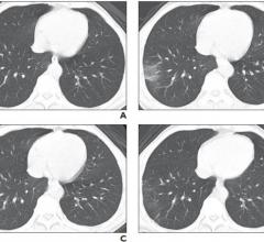
April 6, 2020 — Children and teenagers with COVID-19 showed distinctive clinical and computed tomography (CT) findings ...
April 6, 2020 — United Imaging, a global leader in advanced medical imaging and radiotherapy equipment, followed a ...
The COVID-19 pandemic accelerated a change that was already occurring in imaging-heavy practices across the country — ...
April 6, 2020 — Robert L. Bard, M.D., NYC imaging specialist collaborates with an international group of medical leaders ...
Hicham Skali, M.D., a staff cardiologist and member of the Non-invasive Cardiovascular Imaging Program at Brigham and ...
April 4, 2020 — The Centers for Disease Control and Prevention (CDC) revised its recommendations, stating that everyone ...
The coronavirus pandemic has changed the way radiologists read images and today facilities struggle to define a “new ...
April 3, 2020 — A new guidance document on best practices to maintain safety and minimize contamination in nuclear ...
April 3, 2020 — The radiology world has lost a dedicated leader due to coronavirus (COVID-19). On March 29, Jeannie ...
In January, we started hearing about a new virus, novel coronavirus (COVID-19), and read reports about how fast it ...
Information technologies have played a pivotal role in China’s response to the novel coronavirus COVID-19 outbreak, such ...
April 2, 2020 — Esaote, an Italian company among the world leaders in the field of medical diagnostic imaging systems ...
April 2, 2020 — Updated computed tomography (CT) scoring criteria that considers lobe involvement, as well as changes in ...
April 2, 2020 — In the face of the COVID-19 pandemic raging around the globe, Vuno has decided to move quickly by ...
There has been an extraordinary demand for personal protective equipment (PPE) with the rapid spread of the novel ...
April 1, 2020 — A new study, Data-based analysis, modelling and forecasting of the COVID-19 outbreak, published March 31 ...
April 1, 2020 — Thirona and Delft Imaging launched CAD4COVID. This new artificial intelligence (AI) tool analyses X-ray ...
April 1, 2020 — United Imaging, a global leader in advanced medical imaging and radiotherapy equipment, is preparing to ...
April 08, 2020 