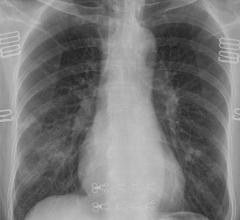
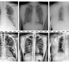
July 22, 2020 — Researchers from the Department of Computer Architecture and Technology at the University of Seville's ...
Coronavirus (COVID-19)
This page contains medical information for clinicians on the 2019 Novel Coronavirus (COVID-19, also called 2019-nCoV and now clinically SARS‐CoV‐2). This section includes articles on medical imaging of the virus for radiologists, new technologies being deployed to fight the virus and clinical information from various sources. Here are direct links for medical professionals to COVID-19 resources from the U.S. Food and Drug Administration (FDA), Centers for Disease Control (CDC) and the World Health Organization (WHO). Daily world-wide statistics on the coronavirus outbreak are available from the WHO Situations Reports. Centers for Medicare and Medicaid Services (CMS) frequently asked questions and answers (FAQs) for healthcare providers regarding Medicare payment for laboratory tests and other services related to the COVID-19
July 20, 2020 — Racial/ethnic minority patients admitted to the hospital with COVID-19 infection are more likely to have ...
July 17, 2020 — Private radiology practices have been especially hard hit by the COVID-19 pandemic, and the steps they ...
Members of the enterprise imaging technology community are facing significant changes in the market, due to the COVID-19 ...
Imaging volumes in hospitals and practices previously slowed by the coronavirus pandemic continue to improve, according ...
July 10, 2020 — An open-access American Journal of Roentgenology (AJR) article investigating the differences in computed ...
July 9, 2020 — With increased lung CT exam paradigms being used in the current COVID-19 (SARS-CoV-2) outbreak, and an ...
The COVID-19 pandemic accelerated a change that was already occurring in imaging-heavy practices across the country — ...
July 9, 2020 — Registration opens today for the American Society for Radiation Oncology's (ASTRO) 62nd Annual Meeting ...
Radiology, like all the departments in hospitals and clinics, has undergone significant changes since early-2020, namely ...
July 8, 2020 — Many patients with severe coronavirus disease 2019 (COVID-19) remain unresponsive after surviving ...
The coronavirus pandemic has changed the way radiologists read images and today facilities struggle to define a “new ...
July 2, 2020 —Fujifilm Sonosite, Inc. and the Emergency Medicine Foundation (EMF), a 501(c)(3) nonprofit organization ...
New QuickPoLL survey results are available on how radiologists feel about current business and the impact of COVID-19 ...
June 30, 2020 — DiA Imaging Analysis, a leading provider of advanced AI-based solutions for ultrasound analysis ...
June 26, 2020 — In recent weeks, a multisystem hyperinflammatory condition has emerged in children in association with ...
June 25, 2020 — The characterization of COVID-19 in patients with cancer remains limited in published studies and ...
June 25, 2020 — The American College of Radiology (ACR) Center for Research and Innovation (CRI) is pleased to announce ...
June 25, 2020 — The Radiological Society of North America (RSNA) and the RSNA COVID-19 AI Task Force today announced the ...
June 25, 2020 — The FDA launched the first “FDA Insight” podcast, featuring FDA Commissioner Stephen Hahn, M.D., and FDA ...
June 24, 2020 — Members of the Radiological Society of North America (RSNA) shared their concerns, insights and ...
June 24, 2020 — During the height of the COVID-19 pandemic in New York City, health care workers on the front lines had ...
June 23, 2020 — On June 23, 2020, Stephen M. Hahn, M.D., Commissioner of Food and Drugs, released a statement regarding ...
July 22, 2020 