January 6, 2010 - While the definition of “meaningful use” of electronic health records (EHRs) under the American Recovery and Reinvestment Act is still pending, vendors are seeking to get IT products certified in hopes it will soon pay off.
January 6, 2010 - Hospitals where patients were more likely to receive imaging services during admissions had lower mortality, according to a study published in the November issue of the Journal of the American College of Radiology. Researchers set out to examine correlations between the use of four common imaging modalities, CT, MR, ultrasound, and X-ray, and in-hospital mortality and costs.
January 6, 2010 - The image quality of multidetector computed tomography (MDCT) scans used for the noninvasive detection of coronary artery disease can be significantly affected by patient characteristics, such as ethnicity, body mass index (BMI), and heart rate.
Radiology departments have many different needs and face a wide variety of challenges that can impact their departments ...
January 6, 2010 - In a deal 19 million euros, plus an additional earn-out of 10 million euros over the next five years, the medical visual display company Barco completed its acquisition of FIMI, a fully owned subsidiary of Royal Philips Electronics' Healthcare business, on 31 December 2009.
January 6, 2009 – Despite looming reimbursement cuts to outpatient imaging scheduled to go into effect in 2010, one outpatient center group announced another a new outpatient imaging center in Westbrook Health Center, in Waukesha, Wisc.
January 5, 2010 - Breast cancer screening should begin at age 40 and earlier in high-risk patients, according to the new recommendations from the Society of Breast Imaging (SBI) and the American College of Radiology (ACR) on breast cancer screening, published in the January issue of the Journal of the American College of Radiology (JACR).
Despite decades of progress in breast imaging, one challenge continues to test even the most skilled radiologists ...
January 5, 2010 - Researchers found robust epidemiological evidence that hereditary factors contribute to aneurysm formation in twins, in a new study published in the January issue of the Journal of Vascular Surgery. According to the authors, the study emphasizes the importance of evaluating family history in patients with AAA and supports ultrasound scan screening of unaffected siblings.
January 5, 2010 – Each year in United States, more than a million new cancer cases are diagnosed. Between 30 and 70 percent of these patients will develop a bone metastasis ? an often intensely painful condition, and current pain treatments are not effective for all of these patients.
January 5, 2010 - Sexual function in prostate cancer patients receiving external beam radiation therapy (EBRT) decreases within the first two years after treatment, but then stabilizes and does not continuously decline as was previously thought, according to a study in the January 1 issue of the International Journal of Radiation Oncology-Biology-Physics, the official journal of the American Soci
Bayer Radiology’s Barbara Ruhland and Thom Kinst discuss how radiology departments can address the many different ...
The Carol Milgard Breast Center in Tacoma, Wash., was conceived from the ground up to provide women with the fastest, most effective and most comprehensive care. Its services include digital mammography, high-resolution ultrasound, dedicated breast magnetic resonance imaging (MRI), as well as a full compliment of biopsy techniques using stereotactic, ultrasound and MRI guidance.
Since its introduction two years ago, Varian’s RapidArc radiotherapy technology has been deployed at over 170 cancer centers around the world.
The Customer Advanced Imaging Specialists (AIS) is a partnership between Mercy Health Partners and leading radiologists in the Scranton, Penn. area. AIS is widely recognized as providing the highest quality outpatient diagnostic imaging services to patients in four convenient locations.
eHealth Saskatchewan plays a vital role in providing IT services to patients, health care providers, and partners such ...
Angel Medical Center in Franklin, N.C. is a small rural hospital with a big commitment: to bring state-of-the-art technology close to home. AMC strives to become a center of excellence for breast health — the hospital has provided the comfort of the MammoPad breast cushion for more than two years, and it became the first facility west of Asheville to offer digital mammography in 2008.
The advent of conformal radiotherapies has ushered in an era of image-guided radiotherapy, or IGRT, enabling clinicians to compensate for the geometric uncertainties inherent in the radiotherapy (RT) delivery process.
The Customer Radiology and MRI of Bethlehem (RMRI) brings together the experience and pioneering visions of two of the finest medical imaging practices in the Lehigh Valley region of Pennsylvania: Radiology Associates, founded in 1950, and MRI of Bethlehem, founded in 1987.
The Outreach Services Program is an integral part of healthcare delivery at Marshfield Clinic, a large group medical practice and private research center. Based in Marshfield, Wisc., the program brings much needed care to rural areas with limited access to state-of-the-art technology.
The Customer Huntington Beach Diagnostic Imaging and Breast Center (HBDI) in Huntington Beach, Calif., is a state-of-the-art imaging practice located adjacent to Huntington Beach Hospital.
Timing was everything when it came to South Sound Radiology’s decision to transition to digital mammography. The Olympia, Washington imaging center began considering a move to digital in 2005, but it was the need to replace their two screen-film machines in 2007 that finally compelled them to make a decision.
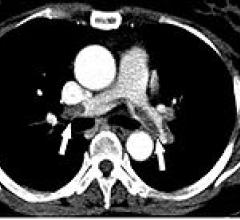
January 4, 2010 - Computed tomography (CT) is the overwhelmingly preferred technique of emergency physicians and radiologists for the diagnosis of pulmonary embolism (PE), according to a study in the January issue of the American Journal of Roentgenology.
January 4, 2010 - In the Office of the National Coordinator's (ONC) proposed regulations for certification criteria and standards for achieving "meaningful use" for electronic health records, released on December 30, 2009, it specified the use of e-prescribing, electronic exchange of health information, and data on clinical quality measures.
January 06, 2010 