Philips announced four leading U.S. health systems have signed multi-year telehealth deals to implement the company’s remote intensive care unit (eICU) program.
Participating dementia specialists may now enroll patients in the Imaging Dementia—Evidence for Amyloid Scanning (IDEAS) Study at IDEAS-Study.org. Primary care and other doctors not taking part in the IDEAS Study are encouraged to refer eligible patients to participating physicians.
Vital Images Inc. launched their personalized viewing platform to the global marketplace, and it will be one of several solutions featured at the Healthcare Information and Management Systems Society (HIMSS) annual conference and exhibition, Feb. 29 – March 4 in Las Vegas.
Radiology departments have many different needs and face a wide variety of challenges that can impact their departments ...
IBM Watson Health announced plans Feb. 18 to acquire Truven Health Analytics, a leading provider of cloud-based healthcare data, analytics and insights, for $2.6 billion. Truven will bring more than 8,500 clients, including U.S. federal and state government agencies, employers, health plans, hospitals, clinicians and life sciences companies, to the IBM Watson Health portfolio.
eHealth Technologies and Chesapeake Regional Information System for our Patients (CRISP), a regional health information exchange (HIE) serving the state of Maryland and the District of Columbia, have successfully begun the implementation of eHealth Connect Image Exchange across the state of Maryland.
March 2, 2016 — GE Healthcare announced two large systems integrators (SIs) and seven leading-edge independent software ...
Despite decades of progress in breast imaging, one challenge continues to test even the most skilled radiologists ...
Philips announced the introduction of a secure data recovery service, built in collaboration with Amazon Web Services (AWS), that rapidly captures and backs up an entire healthcare organization's data repository in the cloud.
Bayer Radiology’s Barbara Ruhland and Thom Kinst discuss how radiology departments can address the many different ...
At the 54th Health Information and Management Systems Society (HIMSS), Siemens Healthcare will demonstrate customized and scalable IT solutions that optimize workflows and increase clinical efficiency across the enterprise. The company is featuring three new solutions this year: teamplay, sense and syngo.share.
Artificial intelligence (AI) may soon be routine in radiology. It won’t take the shape of robots that clank and whir. Or animated heads of the Max Headroom variety. Or disembodied voices à la HAL 9000.
The digital breast tomosynthesis (DBT) market continues to evolve, with reportedly no less than six new systems prepping to hit the market in the near future. At the 2015 Radiological Society of North America (RSNA) annual meeting, Liane Philpotts, M.D., professor of diagnostic radiology and chief of breast imaging at Yale University, discussed how tomosynthesis is revolutionizing breast imaging.
eHealth Saskatchewan plays a vital role in providing IT services to patients, health care providers, and partners such ...
In the midst of increased mergers and industry acquisitions, healthcare leadership is becoming more cognizant of the need to have enterprise imaging strategies in place that answer a long-standing question in medical imaging: “How will we get our providers the images and data they need when and where they need it most?”
Like with many other aspects of healthcare, technology has been the driving force behind the evolution of radiation therapy. New advancements have given rise to new, more precise techniques for delivering maximum radiation dose to tumor volumes with minimum effect to surrounding tissue.
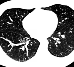
Computed tomography (CT) has evolved significantly since its debut in the 1970s. While the basic principles have stayed the same, manufacturers have been able to expand on these principles to offer enhanced performance and image quality, as ITN contributing editor Greg Freiherr discovered during the 2015 Radiological Society of North America (RSNA) annual meeting, Nov. 29-Dec. 3 in Chicago.
Ultrasound imaging took some major steps forward in 2015, with innovative new systems and technologies debuting across multiple market segments. From new premium-tier systems to the expansion of handheld, point-of-care (POC) solutions, vendors focused on improvements in image quality, productivity and ergonomics — “all those things the customers need to do quality work, diagnostics work at a rapid pace,” said Jon Brubaker, MBA, RCVT, ultrasound technology analyst for MD Buyline.
Angiographic imaging system vendors have developed several new technologies to address emerging cath lab trends, including the need to reduce radiation dose, improve image quality and enable advanced procedural image guidance.
ITN’s exclusive, comprehensive comparison charts can help save you countless hours researching solutions to make informed purchase decisions—in fact, 57 percent of independently surveyed subscribers indicated the comparison charts are one of ITN’s most useful features.
It’s been almost 40 years since the first human magnetic resonance (MR) pictures were taken. Along with decades of experience we’ve seen the development of custom sequencing and mind-boggling advances in computer processing.
McKesson Corp. announced that it has signed definitive agreements to purchase Vantage Oncology LLC, a leading national provider of radiation oncology, medical oncology and integrated cancer care, and Biologics Inc., an oncology pharmacy services company.
March 03, 2016 