February 4, 2021 — GenesisCare — one of the leading oncology providers in the United States, Australia, Spain, and the ...
February 4, 2021 — Twisted Ceptors Corporation, a healthcare solution provider, announces new technology and services ...
Three-dimensional technologies, developed by Materialise, played a crucial role in the world’s first simultaneous double ...
Radiology departments have many different needs and face a wide variety of challenges that can impact their departments ...
February 3, 2021 — A study led by UPMC Children's Hospital of Pittsburgh and the University of Pittsburgh School of ...
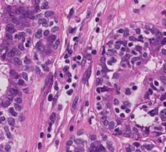
February 3, 2021 — Hormone therapy commonly is given as a targeted treatment for women whose cancer cells carry ...
February 2, 2021 — In response to the lockdown and social distancing measures enacted to combat the spread of COVID-19 ...
Despite decades of progress in breast imaging, one challenge continues to test even the most skilled radiologists ...
February 2, 2021 — Volpara Health, a health technology software company whose integrated breast care platform assists in ...
February 1, 2021 — Canon Medical is bringing the power of accessible artificial intelligence (AI) for improved image ...
February 1, 2021 — COVID-19 vaccine distribution has begun across the globe, while many countries are still struggling ...
Bayer Radiology’s Barbara Ruhland and Thom Kinst discuss how radiology departments can address the many different ...
February 1, 2021 — Researchers at the Beckman Institute for Advanced Science and Technology were part of a collaborative ...
January 29, 2021 — A nationwide panel of experts has developed the first mammography guidelines for older survivors of ...
January 29, 2021 — Fuzionaire Radioisotope Technologies K.K. (“FRIT”) announced that it has entered into a feasibility ...
eHealth Saskatchewan plays a vital role in providing IT services to patients, health care providers, and partners such ...
January 29, 2021 —Konica Minolta Healthcare Americas, Inc. announced an agreement with Medovate Ltd. to jointly promote ...
January 29, 2021— Hologic, Inc. announced the expansion of its ultrasound portfolio with the launch of the new ...
January 28, 2021 — Gaumard Scientific Co., a healthcare simulation company committed to industry leadership through ...
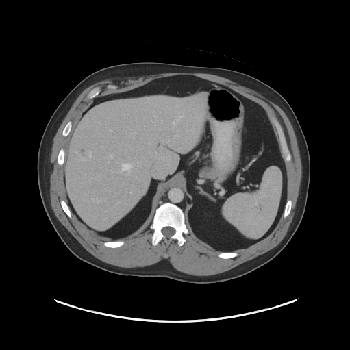
January 28, 2021 — A study led by Ludwig Chicago Co-director Ralph Weichselbaum, M.D., and Yang-Xin Fu, M.D., Ph.D., of ...
January 28, 2021 — A new machine learning algorithm based on mammograms can estimate the risk of breast cancer in women ...
The COVID-19 pandemic accelerated a change that was already occurring in imaging-heavy practices across the country — ...
January 27, 2021 — Philips Healthcare has introduced the Philips Abdominal Aortic Aneurysm (AAA) Model, providing ...
January 27, 2021 — Carestream Health earned 70 new patents in medical imaging in 2020 for advances in digital ...
February 04, 2021 