If you enjoy this content, please share it with a colleague
RELATED CONTENT
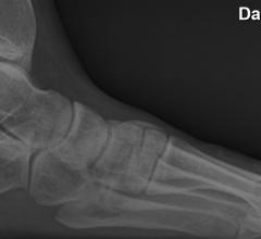
Patients suffering from chronic plantar fasciitis now have a new weapon against this debilitating foot ailment, according to research presented at the Society of Interventional Radiology's Annual Scientific Meeting.
The Society of Interventional Radiology (SIR) unveiled a new brand for the society and its research organization, the SIR Foundation.
April 1, 2014 — A minimally invasive treatment that delivers cancer-killing radiation directly to tumors shows promise in treating breast cancer that has spread to the liver when no other treatment options remain, according to research presented at the 2014 annual meeting of the Society of Interventional Radiology (SIR).
New guidelines for CT-guided biopsies of lung nodules significantly reduce radiation exposure, allowing individuals the benefit of the procedure, which may cut down on overall lung cancer deaths. This research was presented at the Society of Interventional Radiology's (SIR) 37th Annual Scientific Meeting in San Francisco.
Interventional radiology treatments re-establish blood flow in people with chronic deep vein thrombosis (DVT), reducing disabling symptoms and improving the quality of life for those afflicted with post-thrombotic syndrome—an under-recognized but frequent long-term complication of DVT. Researchers presented these findings during March's DVT Awareness Month at the Society of Interventional Radiology's (SIR) 37th Annual Scientific Meeting in San Francisco.
Interventional radiology (IR) software maker HI-IQ announced the launch of Peer Benchmarking reports for the IR community. HI-IQ subscribers can leverage the power of data collected by the HI-IQ user community across the United States through the national HI-IQ Peer Benchmarking Database.
June 20, 2011 — Evaluating patients with multiple sclerosis who have narrowed jugular and azygos veins — and the value of widening those veins with angioplasty — warrants careful, well-designed research, noted members of a Society of Interventional Radiology Foundation's research consensus panel. The multidisciplinary panel indicated that while specific parameters for a large-scale, pivotal multicenter trial are not now available, that type of study is the "mandatory goal" in exploring a condition called chronic cerebrospinal venous insufficiency (or CCSVI).
April 4, 2011 – A unique formulation of antioxidants taken orally before imaging with ionizing radiation minimizes cell damage, noted researchers at the Society of Interventional Radiology’s 36th Annual Scientific Meeting in Chicago.
April 1, 2011 – The growth and spread of breast cancer tumors may be delayed with a promising treatment that combines two innovative strategies: blocking the enzyme needed to "energize" cancer cells and infusing a potent drug directly into the tumor.
March 30, 2011 – Interventional radiologists have completed the first human randomized controlled trial of therapeutic renal denervation, or RDN. RDN is a procedure that uses a catheter-based probe inserted into the renal artery that emits high-frequency energy to deactivate the nerves near the kidneys (or in the renal artery) that are linked to high blood pressure.
March 12, 2015 