If you enjoy this content, please share it with a colleague
Riverain Technologies
RELATED CONTENT
Riverain Technologies announced that its ClearRead CT, a breakthrough nodule detection application, has received clearance from the U.S. Food and Drug Administration (FDA).
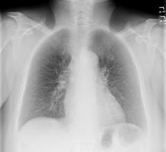
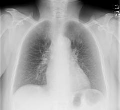
Doctors are gleaning important information from the most common imaging exam, the chest X-ray, by using sophisticated software that improves X-ray images captured by the equipment they already have or are in the process of purchasing.
Licenses sold worldwide through October for Riverain Technologies’ ClearRead software are up 36 percent compared to the same time period last year.
ClearRead +Confirm, new software from Riverain Technologies that improves the clarity of conventional chest X-ray images and allows radiologists to rapidly confirm the proper placement of tubes, lines and wires, has received 510(k) clearance from the Food and Drug Administration (FDA).
New software by Riverain Technologies that improves the visual clarity of conventional chest X-ray images and increases radiologists’ efficiency by reducing the time it takes to accurately confirm the proper placement of lifesaving feeding, drug-delivery and pain management tubes and lines has received CE Mark approval.
December 19, 2012 — Three studies presented at the 98th annual meeting of the Radiological Society of North America (RSNA) in November reported that using bone suppression and computer-aided detection (CAD) software significantly improves the detection of lung nodules on chest X-ray images.
Riverain Technologies, an industry leader and innovator in proprietary image processing and machine learning technologies, announced that the United States Patent and Trademark Office (USPTO) has awarded the company broad patents for its technologies, opening the door for the company’s software to be used in wider healthcare applications and in other industries. These two new patents not only protect Riverain’s novel chest X-ray technology, which suppresses bone and calls out suspicious tissue, but also hold enormous promise for the company to bring its breakthrough software to other medical applications, including; computed tomography (CT) scans, magnetic resonance imaging (MRI) and ultrasound.
September 25, 2012 — Riverain Technologies announced that it has been issued broad patents from the U.S. Patent and Trademark Office for its technologies, opening the door for the company’s software to be used in wider healthcare applications.
September 14, 2012 — A radiologist’s ability to detect pneumonia early — so it can be treated quickly — is improved by Riverain Technologies software that suppresses the ribs and clavicles on a chest X-ray, suggests new research published online by European Radiology.
March 13, 2012 — Riverain Technologies’ software to improve early diagnosis of potentially cancerous lung nodules using chest X-ray machines has a new name.
September 20, 2016 