If you enjoy this content, please share it with a colleague
Riverain Technologies
RELATED CONTENT
Riverain’s OnGuard chest X-ray computer-aided detection (CAD) software helps identify nodules that may be early-stage ...
Riverain SoftView bone suppression technology is designed to increase the clarity of chest X-rays by suppressing the ...
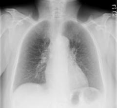
April 20, 2011 – A new study published in Radiology has demonstrated that using a bone suppression application with chest X-rays significantly increased the detection of lung nodules proven to be primary lung cancer. The study used Riverain Medical’s SoftView system.
Lung cancer is the most common form of cancer found today. There are two primary types - small cell and nonsmall cell. The National Cancer Institute (NCI) estimates that in 2010, more than 157,300 men and women died of the disease in the United States.
February 28, 2011 – Results from a study comparing two versions of computer-aided detection (CAD) technology have been published on the European Society of Radiology’s website. The study, which compared Riverain Medical’s OnGuard 1.0 and OnGuard 5.1, found that radiologists using OnGuard 5.1 were able to detect smaller lung nodules, including those that were primary lung cancer.
November 23, 2010 — Two recently FDA-approved computer-aided detection (CAD) products will be displayed at RSNA Chicago.
July 20, 2010 – Siemens recently announced it is enhancing its digital radiography (DR) product with new software that takes existing chest X-rays and suppresses the ribs and clavicles to improve visibility of soft tissue structures of the lungs.
June 22, 2010 – Riverain Medical announced this week that the U.S. Food and Drug Administration (FDA) has granted approval for the newest version of the OnGuard Chest X-ray Computer-Aided Detection (CAD) technology. OnGuard identifies solitary pulmonary nodules that may represent early-stage lung cancer on an existing chest X-ray.
March 25, 2010 - The U.S. Food and Drug Administration (FDA) has cleared a new chest X-ray detection solution to aid in lung nodule detection.
November 18, 2008 - Riverain Medical said its OnGuard Chest X-ray CAD system and the SoftView Enhanced Chest Imaging technology are commercially available in the European Union and Canada after being awarded CE marks and Canadian device licenses.
October 05, 2011 