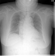
April 20, 2011 – A new study published in Radiology has demonstrated that using a bone suppression application with chest X-rays significantly increased the detection of lung nodules proven to be primary lung cancer. The study used Riverain Medical’s SoftView system. SoftView enhances chest imaging uses machine learning and image processing algorithms to suppress the ribs and clavicles that obscure nodules that may be early-stage lung cancer. The reader study, funded by Riverain Medical and conducted at Georgetown University in Washington, D.C., was led by Matthew Freedman, M.D., associate professor of Oncology at the Lombardi Comprehensive Cancer Center. The study consisted of fifteen radiologists analyzing 368 chest X-rays. The radiologists interpreted the standard chest X-ray to locate lung nodules and then reviewed the SoftView bone suppressed image. The authors concluded that “the radiologists using visualization software significantly increased their detection of lung cancers and benign nodules" than without this technology. In fact, 74 percent of the additional cancers found when reviewing the SoftView images were in hard-to-view areas with 70 percent or greater bone and nodule overlap. As a result, the program helped clinicians decide whether to suggest additional diagnostic testing including CT and lung biopsy. “Finding lung cancer at its earliest, most treatable stage is the key to the survival of this disease that claimed the lives of more than 150,000 Americans in 2010 alone,” said Steve Worrell, chief technology officer of Riverain Medical. “The publication of this peer-reviewed study confirms that SoftView allows physicians to identify more early-stage lung nodules under some of the most challenging conditions when using a chest X-ray.” The U.S. Food and Drug Administration (FDA) cleared the application in March 2010. , It is designed to increase the clarity of chest X-rays by suppressing bone. It can be applied to every chest X-ray in the hospital without specialized imaging equipment, changes in imaging protocols or additional radiation dose to the patient. Using advanced bone suppression and image enhancement algorithms, it automatically provides a soft tissue image for more confident image interpretations. “Clinical data has shown that the early detection of lung cancer can save lives,” said Diane Hirakawa, CEO and chairman of Riverain Medical. “It is encouraging to see a growing body of scientific work demonstrating the benefits of SoftView. Riverain Medical is committed to developing technology that can change the outcomes of patients by aiding in the detection of cancer at its earliest and most treatable stage.” For more information: www.rivertainmedical.com
February 11, 2026 