OnGuard
November 23, 2010 — Two recently FDA-approved computer-aided detection (CAD) products will be displayed at RSNA Chicago.
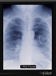
OnGuard chest X-ray CAD technology was approved by the FDA in June and offers radiologists an opportunity to effectively and consistently detect suspicious, actionable nodules that may be early-stage lung cancer. Using an existing X-ray, OnGuard places markers around regions of the lung that may be early-stage cancer.
Also FDA-cleared this year, SoftView from Riverain Medical is a new image enhancement technology that increases the clarity of chest X-rays by suppressing bone on the digital image. SoftView automatically provides a soft tissue image for every chest X-ray.
Both enterprise-wide solutions feature universal picture archiving and communication system (PACS) connectivity and require no additional radiation dose or patient procedure.
For more information: www.riverainmedical.com
November 24, 2025 