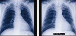
February 28, 2011 – Results from a study comparing two versions of computer-aided detection (CAD) technology have been published on the European Society of Radiology’s website. The study, which compared Riverain Medical’s OnGuard 1.0 and OnGuard 5.1, found that radiologists using OnGuard 5.1 were able to detect smaller lung nodules, including those that were primary lung cancer. "By using OnGuard 5.1 in tandem with a standard chest X-ray, our radiologists are now able to detect smaller lung nodules that would have previously gone unnoticed," said Matthew Freedman, M.D., principal investigator of the study and associate professor of oncology at the Lombardi Comprehensive Cancer Center at Georgetown University in Washington, D.C. "It's clear from our research that OnGuard CAD technology has improved significantly over the past 10 years. Improved sensitivity and a lower false positive rate allow radiologists to detect early-stage lung cancer sooner, giving them more confidence in diagnosing the patient." Fifteen radiologists participated in the reader study, which analyzed more than 250 chest X-rays (approximately a 2:1 cancer negative to positive ratio). Compared to its previous version, investigators found OnGuard 5.1 provided nearly 50 percent higher machine sensitivity for cancer detection, while significantly reducing the number of false positives per image. "Initial results of the National Lung Screening Trial demonstrate for the first time that the early detection of lung cancer can save lives," said Steve Worrell, chief technology officer of Riverain Medical. "We're excited to play a key role in the early detection of lung cancer. OnGuard's CAD markings give radiologists a second set of eyes, allowing radiologists to find cancerous nodules at their earliest and most treatable stage." For more information: www.riverainmedical.com
November 26, 2025 