If you enjoy this content, please share it with a colleague
RELATED CONTENT
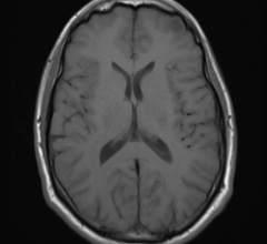
Patients with the most common form of focal epilepsy have widespread, abnormal connections in their brains that could provide clues toward diagnosis and treatment, according to a new study published online in the journal Radiology.
For the first time, researchers have confirmed an association between a common magnetic resonance imaging (MRI) contrast agent and abnormalities on brain MRI, according to a new study published online in the journal Radiology. The new study raises the possibility that a toxic component of the contrast agent may remain in the body long after administration.
Researchers have identified a potential biomarker for predicting whether a premature infant is at high risk for motor development problems, according to a study published online in the journal Radiology.
Richard L. Baron, M.D., FACR, was named chairman of the Radiological Society of North America (RSNA) Board of Directors at the society's Annual Meeting (RSNA 2013) in Chicago.
Nicholas Reed Dunnick, M.D., was named president of the Radiological Society of North America (RSNA) Board of Directors today at the society's Annual Meeting (RSNA 2013) in Chicago.
Ronald L. Arenson, M.D., FACR, was named president-elect of the Radiological Society of North America (RSNA) Board of Directors at the society's Annual Meeting (RSNA 2013) in Chicago.
A new study reports that individuals who underwent embolization of the left gastric artery for gastrointestinal bleeding experienced a 7.9 percent decrease in body weight three months after the procedure. Results of the study, which offer a potential new avenue for obesity research, will be presented next week at the annual meeting of the Radiological Society of North America (RSNA).
The Radiological Society of North America (RSNA) awarded honorary membership at the Radiological Society of North America Annual Meeting (RSNA 2013) to three individuals who have distinguished themselves as outstanding contributors to the field of radiology and its allied sciences.
The Radiological Society of North America (RSNA) has increased its financial commitment to the American Association of Physicists in Medicine (AAPM) to support a total of eight new Commission on Accreditation of Medical Physics Educational Programs (CAMPEP)-accredited imaging physics residencies over the next six years.
The RSNA FastPass is produced by Imaging Technology News (ITN) as a guide to what vendors are highlighting. It helps attendees better navigate the vast technical exhibit floor to find what they are looking for.
January 14, 2014 