If you enjoy this content, please share it with a colleague
RELATED CONTENT
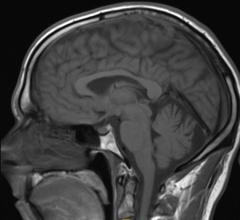
New research, published in the journal Radiology, suggests some types of a popular contrast agent used in magnetic resonance imaging (MRI) exams may remain in the brain for years, but that the long-term effects are unknown.
Some high school football players exhibit measurable brain changes after a single season of play even in the absence of concussion, according to a study presented at the annual meeting of the Radiological Society of North America (RSNA).
A study of breast cancers detected with screening mammography found that strong family history and dense breast tissue were commonly absent in women between the ages of 40 and 49 diagnosed with breast cancer. Results of the study were presented at the annual meeting of the Radiological Society of North America (RSNA).
A study presented at the annual meeting of the Radiological Society of North America (RSNA) investigated a new device that may result in more comfortable mammography for women. According to the study, standardizing the pressure applied in mammography would reduce pain associated with breast compression without sacrificing image quality.
Researchers reported on a procedure that can preserve fertility and potentially save the lives of women with a serious pregnancy complication called placenta accreta. Results of the new study presented at the annual meeting of the Radiological Society of North America (RSNA) showed that placement of balloons in the main artery of the mother's pelvis prior to a Caesarean section protects against hemorrhage and is safe for both mother and baby.
Patients value direct, independent access to their medical exams, according to a new study presented at the annual meeting of the Radiological Society of North America (RSNA).
A major new study presented at the annual meeting of the Radiological Society of North America (RSNA) found that digital breast tomosynthesis, also known as 3-D mammography, has the potential to significantly increase the cancer detection rate in mammography screening of women with dense breasts.
Researchers are using computed tomography (CT) and 3-D printing technology to recreate life-size models of patients' heads to assist in face transplantation surgery, according to a study presented at the annual meeting of the Radiological Society of North America (RSNA).
In an ongoing effort to maintain the highest standards of practice among radiology professionals, the Radiological Society of North America (RSNA) Professionalism Committee has expanded its series of free educational vignettes on ethics and professionalism in radiology. The new vignette is called “Professionalism in Radiology Research: Authorship.”
Physicians at Northwestern Memorial Hospital in Chicago were as stunned in 1979 by Godfrey Hounsfield’s exclamation as Hounsfield was at the computed tomography (CT) image. “My word, what is that?” asked the inventor of computed tomography, who later that year would receive the Nobel Peace Prize for his invention.
May 05, 2015 