If you enjoy this content, please share it with a colleague
RELATED CONTENT
This year marks the 100th anniversary of the Radiological Society of North America (RSNA), and is being celebrated through the theme “A Century of Transforming Medicine.” Numerous activities are planned to celebrate its century mark Nov. 30 through Dec. 5 at McCormick Place in Chicago, including a Centennial Showcase. Imaging Technology News (ITN) congratulates RSNA on this monumental success, and for all it has done for this industry and its community over the years. You can preview some of new technology and products that will be offered at RSNA in our show preview on page 17. Also, be sure to look at ITN’s FastPass microsite at www.itnonline.com/rsna-fastpass. We invite you to come visit us during the show in the South Hall at booth 1715.
The Radiological Society of North America (RSNA) will officially kick off its 100th annual meeting and scientific assembly (Nov. 30 – Dec. 5, McCormick Place, Chicago) with a look back on the role RSNA has played in the history of radiology, brought to life in the RSNA Centennial Showcase.
The Radiological Society of North America (RSNA) will officially kick off its 100th Annual Meeting and Scientific Assembly (Nov. 30 – Dec. 5, McCormick Place, Chicago) with a look back on the role RSNA has played in the history of radiology, brought to life in the highly anticipated RSNA Centennial Showcase.
August 14, 2014 — Mammography-detected breast cancer is associated with a shift to earlier stage diagnosis in older women, subsequently reducing the rate of more advanced, difficult-to-treat cases, according to a new study published online in the journal Radiology. Researchers said the findings lend support to regular mammography screening in women ages 75 and older.
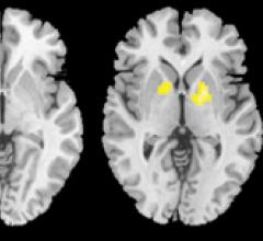
September 8, 2014 — Brain iron levels offer a potential biomarker in the diagnosis of attention deficit hyperactivity disorder (ADHD) and may help physicians and parents make better-informed treatment decisions, according to new research published online in the journal Radiology.
July 24, 2014 — An after-action review of the Brigham and Women’s Hospital’s emergency radiology response to the Boston Marathon bombings last year highlights the crucial role medical imaging plays in emergency situations and ways in which radiology departments can improve their preparedness for mass casualty events. The new study is published online in the journal Radiology.
The Radiological Society of North America (RSNA) Research and Education (R&E) Foundation will fund 94 grants totaling $3.6 million in 2014, the largest amount ever awarded by the Foundation in a single year.
May 2, 2014 — A new study has found that children and adolescents with attention deficit hyperactivity disorder (ADHD) have disrupted connections between different areas of the brain that are evident on resting-state functional magnetic resonance imaging (rfMRI). The results of this research are published online in the journal Radiology.
April 28, 2014 — AG Mednet’s Submission, Quality and Compliance (SQC) software for QIBA (Quantitative Imaging Biomarkers Alliance) is the first technology to automate the process of verifying QIBA protocol compliance, saving sponsors time and money and making it easier for investigator sites to submit quality data.
Martin R. Prince, M.D., Ph.D., F.A.C.R., has created an endowment to the Research & Education (R&E) Foundation of the Radiological Society of North America (RSNA) to fund the new Prince Research Resident Grant.
November 06, 2014 