May 2, 2014 — A new study has found that children and adolescents with attention deficit hyperactivity disorder (ADHD) have disrupted connections between different areas of the brain that are evident on resting-state functional magnetic resonance imaging (rfMRI). The results of this research are published online in the journal Radiology.
The findings point to the potential of rfMRI to help provide objectively accurate, early diagnosis of a disorder that affects approximately 5 percent of children and adolescents worldwide.
ADHD is a disorder characterized by age-inappropriate degrees of inattention, hyperactivity and impulsivity. Functional MRI studies, which measure brain activity when a person is focused on a particular task, have implicated the brain's frontostriatal circuit, a collection of neural pathways in the frontal lobe of the brain that helps control behavior. However, the specific brain physiology underlying ADHD remains poorly understood.
For the new study, researchers used rfMRI, a relatively new technique that assesses neural function when the brain is not focused on a specific task. The technique is useful for exploring the brain's functional organization independent of task performance.
The researchers compared rfMRI results in 33 boys with ADHD, ages 6 to 16, with those of 32 similarly aged, healthy controls. They correlated the MRI findings with results from tests of executive function, a term for the set of mental processes involved in planning, organizing, time management and regulating emotions, among other things. People with ADHD often have abnormal executive function.
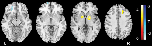
The results showed that the patients with ADHD had altered structure and function located in areas of the brain like the orbitofrontal cortex, which is primarily involved in the cognitive processing of strategic planning, and the globus pallidus, which is involved in executive inhibitory control.
"Our study suggests that the structural and functional abnormalities in these brain regions might cause the inattention and hyperactivity of the patients with ADHD, and we are doing further analysis on their correlation with the clinical symptoms," said Qiyong Gong, M.D., Ph.D., a neuroradiologist from the department of radiology at West China Hospital of Sichuan University in Sichuan, China. "Our preliminary results show the association between imaging findings and symptoms."
The researchers also found abnormalities in the connections between resting-state brain networks associated with executive dysfunction. These abnormalities indicate more widespread brain alterations in ADHD than previously had been shown, Gong said.
Exploration of the association between brain activity and executive function might be useful in better characterizing patients with ADHD and in understanding the pathophysiology underlying the condition, according to Gong. "Our results suggest the potential clinical utility of the rfMRI changes as a useful marker, which may help in diagnosis and in monitoring disease progression and, consequently, may inform timely clinical intervention in the future," he said.
Gong indicated larger studies are needed to validate the results. The researchers also plan to study changes in connectivity over time in ADHD patients and explore the potential differences of functional connectivity between the clinical subtypes of ADHD, such as inattentiveness and hyperactivity.
The ADHD study is part of a larger project from Gong's group at Huaxi MR Research Center of the West China Hospital to explore MRI's diagnostic and prognostic potential in psychiatric disorders.
For more information: www.radiologyinfo.org
November 06, 2025 