If you enjoy this content, please share it with a colleague
RELATED CONTENT
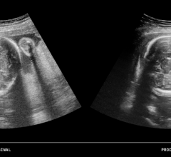
At the 2015 IEEE High Performance Extreme Computing Conference (HPEC ‘15), ContextVision presented new results of research conducted with Texas Instruments (TI) and High Performance Consulting. The study outlines the achievement of low latency, reduced memory footprint and low power consumption through data streaming, specifically as a modification to portable ultrasound imaging devices.
At the SPIE Medical Imaging Conference, ContextVision exhibited results from research conducted in collaboration with Texas Instruments and High Performance Consulting on 3-D adaptive filtering for improved image quality on portable medical devices. Björn Norell, research scientist at ContextVision, presented the findings.
At the IEEE medical Imaging Conference (MIC) in November, ContextVision co-presented with Texas Instruments and High Performance Consulting on new research on 3-D adaptive filtering.
ContextVision released GOPView Mammo3, a complete mammography image processing product for both screening and diagnostic imaging.
September 17, 2014 — The industry’s first ultrasound real-time 3-D volume enhancement product from ContextVision has been paired with brand new image visualization capabilities. The resulting product, REALiCE, will deliver photo-realistic and improved diagnostic-quality 3-D ultrasound images.
Management of Sapheneia LLC and Sapheneia Commercial Products AB won the final two cases in Swedish Appeals Court.
At the 71st China International Medical Equipment Fair (CMEF) from April 17-20, ContextVision demonstrated its US PLUSView Family and GOPView Mammo2 image quality software, the latest additions to its broad, multi-modality product portfolio.
ContextVision will showcase its US PLUSView Family and GOPView Mammo2 at the European Congress of Radiology (ECR), March 6-10. The US PLUSView Family includes four packages: women’s health, general imaging, cardiovascular and point of care. Each package is optimized for individual application areas, providing medical professionals with enhanced diagnostic confidence.
ContextVision will introduce GOPView Mammo2 features at the Radiological Society of North America Annual Meeting (RSNA 2013).
ContextVision will debut four real-time ultrasound image enhancement packages as part of its US PlusView Family at the Radiological Society of North America Annual Meeting (RSNA 2013) in Chicago.
September 25, 2015 