September 17, 2014 — The industry’s first ultrasound real-time 3-D volume enhancement product from ContextVision has been paired with brand new image visualization capabilities. The resulting product, REALiCE, will deliver photo-realistic and improved diagnostic-quality 3-D ultrasound images.
The REALiCE software combines the GOPiCE adaptive 3-D/4-D volume enhancement product with brand new true-to-data rendering technology. This combination makes high-end visualization capabilities possible for many ultrasound manufacturers.
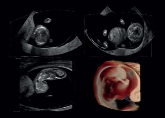
The software provides a new unique way of visualizing 3-D/4-D ultrasound images that improves image quality both in 3-D/4-D rendered images and in MPR views, enabling a clearer image and visualization of the fetus. The unique combination of 3-D volume enhancement in GOPiCE, scan conversion and rendering software results in high-quality images comparable to photos.
The ease of use of this visualization package allows for translucency adjustments, light source positioning, and skin softness and shading changes. The product delivers multiple views, including photographic view and versatile surface rendering view.
When integrated into ultrasound systems, REALiCE provides more accurate imaging to facilitate diagnosis and measurement. The adjustable views — including lighting source controls, translucency and tuning capabilities — will allow ultrasound manufacturers to meet the needs of a wide range of clinics and hospitals.
“Our photographic view offers further value to expecting parents. It also adds information to the clinician in fetal diagnosis,” sayid Anita Tollstadius, CEO of ContextVision. “We are confident that REALiCE will help ultrasound manufacturers make further advances within 3-D/4-D ultrasound.”
For more information: www.contextvision.com
November 29, 2025 