rsna 2013 ultrasound systems cardiovascular women's US PlusView Packages

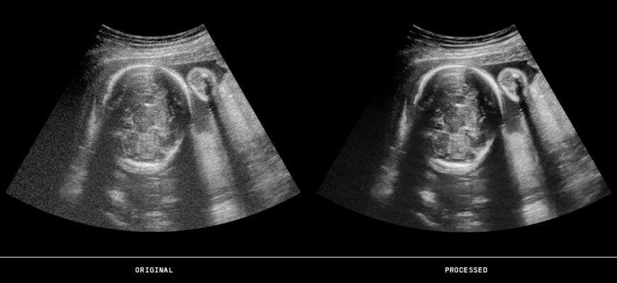
November 22, 2013 — ContextVision will debut four real-time ultrasound image enhancement packages as part of its US PlusView Family at the Radiological Society of North America Annual Meeting (RSNA 2013) in Chicago. The packages, optimized for individual application areas will ultimately provide medical professionals with enhanced diagnostic confidence. Elements of the four packages include speckle reduction, edge enhancement, efficient line connectivity and higher grayscale contrast, enabling direct, focused enrichment of selected image features.
 
The US PlusView Family will include packages for ultrasound imaging in women’s health, general imaging, cardiovascular and point of care.
  • Women’s health: With homogenization of soft tissue as well as greater contrast and edge enhancement, imaging professionals are able to better detect lesions in soft tissue during breast examinations. For more reliable measurements of a fetus, the women’s health package provides clear lines and edge conspicuity for greater diagnostic confidence.
  • General imaging: Increased line connectivity and homogeneity included in the general imaging package allows for easier detection of lesions and visualization of renal pyramids. Efficient grayscale contrast, edge enhancement and delineation of fluids facilitate diagnosis and lead to precise structural assessments.
  • Cardiovascular: Higher grayscale contrast and superior edge enhancement provide sharper edges for clinicians to easily view the heart valves and to make accurate measurements. The cardiovascular package includes efficient speckle and noise reduction, making it easier to see calcifications and atherosclerosis in blood vessels.
  • Point of care: Improved line connectivity and grayscale contrast enhances imaging on portable systems for musculoskeletal, nerve block and needle guide examinations. The point of care package provides automatically excellent image quality for less experienced ultrasound professionals.
 
The US PlusView Family is an adaptable product for all hardware platforms, from low-end CPU systems to digital signal processor (DSP) platforms and high-end GPU-based ultrasound systems. The group-of-pictures (GOP) methodology detects structures by examining the significance of each pixel in relation to its wider context.
 
For more information: www.contextvision.com, www.rsna.org

Related Content

News | Breast Imaging

March 10, 2026 — QT Imaging Holdings has received U.S. Food and Drug Administration (FDA) 510(k) clearance for an ...

Time March 13, 2026
arrow
News | Radiology Business

March 12, 2026 — DelveInsight's has released its latest Diagnostic Imaging Equipment Market Insights report. The in ...

Time March 13, 2026
arrow
News | HIMSS

March 5, 2026 — At the Health Information and Management Systems Society (HIMSS) Conference & Exhibition 2026 in Las ...

Time March 06, 2026
arrow
News | Artificial Intelligence

March 2, 2026 — RadNet, Inc. has acquired Gleamer SAS, a radiology AI company based in Paris, France. Gleamer will be ...

Time March 03, 2026
arrow
News | Ultrasound Women's Health

March 2, 2026 — Ultrasound AI, a provider of artificial intelligence applications for medical imaging, has received FDA ...

Time March 03, 2026
arrow
News | FDA

Feb. 26, 2026 — AS Software, a provider of specialty-focused ultrasound reporting solutions, has announced that the U.S ...

Time March 02, 2026
arrow
News | Breast Biopsy Systems

Feb. 18, 2026 — Mammotome, a Danaher company, has introduced the Mammotome Prima MR Dual Vacuum-Assisted Breast Biopsy ...

Time February 18, 2026
arrow
News | Breast Imaging

Feb. 16, 2026 — Rising demand for breast cancer screening and diagnostics is outpacing the supply of available breast ...

Time February 17, 2026
arrow
News | Magnetic Resonance Imaging (MRI)

Feb. 5, 2026 — Eyas Medical Imaging, Inc. has received U.S. Food and Drug Administration (FDA) 510(k) clearance for its ...

Time February 06, 2026
arrow
News | Ultrasound Women's Health

Feb. 5, 2026 — BrightHeart, a global provider of AI-driven prenatal ultrasound, has announced the availability of its B ...

Time February 05, 2026
arrow
Subscribe Now