Radiation oncology is an important area of concentration for Imaging Technology News (ITN), as we provide coverage of ...
Women's Health
The women’s health channel includes news, videos, podcasts and other content related to technology used to detect and treat breast cancer and cervical cancer, including mammography, breast magnetic resonance imaging (MRI), automated breast ultrasound (ABUS), breast ultrasound, breast biopsy and breast radiation therapy.
March 17, 2010 - New data from an NIH-sponsored, multi-site study showed the positron emission mammography (PEM) had 31 ...
March 17, 2010 - After 2015, incentive payments for meaningful use will no longer be issued, according to the proposed ...
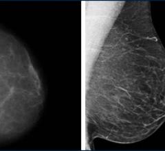
Despite decades of progress in breast imaging, one challenge continues to test even the most skilled radiologists ...
March 16, 2010 - SenoRx Inc. released a statement yesterday announcing with great sadness of its chairman and chief ...
March 15, 2010 - Researchers released new data from an National Institute of Health (NIH) sponsored, multi-site study of ...
March 10, 2010 - The American College of Radiology (ACR) is backing the Safeguard Access to Preventative Services Act (H ...
The COVID-19 pandemic had a huge impact on the radiology community. Hospitals, doctors’ offices and clinics found ...
The war on breast cancer took on new meaning when the U.S. Preventive Services Task Force (USPSTF) revised its screening ...
February 25, 2010 - States have limited mammography services and other early detection programs for women younger than ...
If you thought Deficit Reduction Act (DRA) was draconian, you may do a double-take at the 2010 Medicare Physician Fee ...
Artificial Intelligence (AI) is becoming more common place in radiology practices, and emerging technologies are ...
February 9, 2010 - The chronic side-effects of radiotherapy for early breast cancer are not any worse when treatment is ...
February 9, 2010 - Breast imaging is on a growth track, providing an additional application for MRI and prompting the ...
Cancer mortality rates have decreased as new technologies have been introduced into the field of healthcare, but these ...
As the largest independent imaging group in Michigan with 10 locations across the state, Regional Medical Imaging (RMI) ...
February 2, 2010 - Hologic reported its first quarter 2010 net income was $26.1 million, or 10 cents per diluted share ...
Janaury 26, 2010 - Radiologists specializing in breast imaging will now all speak the same language. The Radiological ...
January 25, 2010 - With more than 3,000 requests for medical devices to get 510(k) clearance each year, the U.S. Food ...
January 21, 2010 - More than 60 percent of U.S. breast imaging facilities offer digital mammography and more are ...
January 20, 2010 - Advanced breast imaging capabilities added elastography to the list, fused MR/CT image data combined ...
January 20, 2010 - Cervical cancer is the second most common cancer in women worldwide. Treatments for the disease have ...
January 20, 2010 - First Coast Oncology in Jacksonville, Fla., employs a technique for whole breast irradiation that is ...
January 19, 2010 - Automated breast ultrasound system (ABUS) is used as an adjunct to mammography for B-mode ultrasonic ...
March 19, 2010 