May 14, 2025 — A comprehensive new study based on nationwide claims data from more than 11 million patients shows that ...
Radiology Imaging
The radiology imaging channel includes technology news related to computed tomography (CT), digital radiography (DR / X-ray), ultrasound, magnetic resonance imaging (MRI), radiographic fluoroscopy (R/F), mammography, angiography, 3-D printing, contrast media injectors, molecular imaging, neurological imaging, pediatric imaging and radiation dose management.
May 12, 2025 — GE HealthCare recently unveiled Signa Sprint, an FDA 510(k) pending[1] ultra-premium wide bore 1.5T high ...
The issue of sustainability in healthcare has gained increasing focus over the past several years. During a 2022 plenary ...
SPONSORED CONTENT — Fujifilm’s latest CT technology brings exceptional image quality to a compact and user- and patient ...
May 5, 2025 — GE HealthCare recently announced that the U.S. Food and Drug Administration (FDA) granted 510(k) clearance ...
April 30, 2025 – Viz.ai, the leader in AI-powered disease detection and intelligent care coordination, has launched Viz ...
May 01, 2025 — Researchers from the Rajpurkar Lab in the Department of Biomedical Informatics at Harvard Medical School ...
Agfa Radiology Solutions is committed to enhancing clinical outcomes and operational efficiency, underscoring its ...
April 29, 2025 — iCAD, a global provider of clinically proven AI-powered cancer detection solutions, has announced a ...
April 24, 2025 — GE HealthCare will feature its latest advancements in diagnostic accuracy and patient-centered breast ...
April 17, 2025 — Nano-X Imaging LTD has received 510(k) clearance from the U.S. Food and Drug Administration (FDA) for ...
Agfa Radiology Solutions delivers diagnostic imaging solutions that set the standard in productivity, safety, clinical ...
April 16, 2025 — A new Harvey L. Neiman Health Policy Institute study found evidence that a new diagnosis of sarcopenia ...
April, 15, 2025 — Optellum has entered an agreement with Bristol Myers Squibb to leverage AI in early diagnosis and ...
April 15, 2025 — CureMetrix, a provider of AI-driven medical imaging solutions, has announced that its AI-based cmAngio ...
In June, the Philips Radiology Experience Tour hit the road to provide healthcare professionals with an opportunity to ...
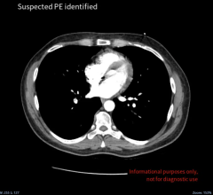
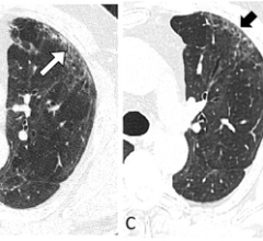
April 16, 2025 — An artificial intelligence (AI) program trained to review images from a common medical test can detect ...
April 11, 2025 — Contrast-enhanced ultrasound (CEUS) is a safe and accurate diagnostic imaging option for pregnant women ...
April 10, 2025 — Cincinnati Children’s and GE HealthCare will form a strategic research program focused on driving ...
April 7, 2025 — DOSIsoft, a provider of patient-specific imaging and dosimetry software solutions, recently announced ...
April 3, 2025 — Siemens Healthineers and Tower Health have formed a 10-year Value Partnership1 focused on equipment ...
March 31, 2025 — MedStar Georgetown University Hospital is the first hospital in the Washington, D.C. region to offer ...
March 31, 2025 — Neuropathic pain affects up to 10 percent of the global population and can be challenging to manage ...
April 2, 2025 — Patients for Safer Nuclear Medicine (PSNM), a coalition of 30 non-profit organizations advocating on ...
May 14, 2025 