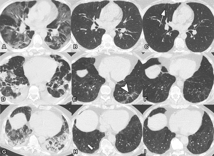
Serial non-contrast axial chest CTs of three study participants with prior COVID-19 pneumonia. Chest CT of a 44-year-old man (upper row, A-C) displayed extensive bilateral GGO and supleural reticulation during acute COVID-19 (A). At the 2-month follow-up almost complete resolution of GGO with residual subpleural reticulation in the middle lobe was noted (B). These subpleural reticulations (arrow) persisted up to one year after onset (C). Chest CT of a 68-year-old-man (middle row, D-F) demonstrated patchy bilateral consolidations, a subpleural arcade-like sign and pleural effusions during active infection (D). At the 2-month follow-up, a substantial improvement of OP pattern was noted with GGO and subpleural reticulation including arcade-like sign (arrowhead) in the left lower lobe (E). At the 1-year follow-up, further improvement was noticed. However, subtle reticulation and GGO could still be detected (F). Chest CT of a 79-year-old man (lower row, G-I) displayed bilateral consolidations and small areas of GGO while admitted to the ICU (G). At the 2-month follow-up, residual GGO and small subpleural microcystic changes (thick arrow) were noticed (H), which persisted up to 1 year after onset (I). Image courtesy of the Radiological Society of North America
Here is what you and your colleagues found to be most interesting in the field of medical imaging during the month of March. This data was drawn from itnonline.com’s 149,000 viewers over the course of the month.
1. PHOTO GALLERY: How COVID-19 Appears on Medical Imaging
2. Computed Tomography Systems Comparison Chart
3. SNMMI Applauds FDA Approval of New Metastatic Prostate Cancer Treatment
4. VIDEO: Konica Minolta Introduces mKDR Xpress Mobile X-ray System at RSNA 2021
5. Talking Trends with Philips: Advancements in CT Technology
6. 7 Trends in Radiation Therapy at ASTRO 2021
7. MRI Wide Bore Systems Comparison Chart
9. Fujifilm Sonosite Files Patent Infringement Lawsuit Against Butterfly Network
February 06, 2026 