August 23, 2010 - The radiation therapy skin cancer business of Topex Inc. is being sold to Sensus Healthcare. Sensus will take over sales of the low-energy SRT 100 superficial radiotherapy treatment system.
August 23, 2010 - Calypso Medical Technologies Inc., entered into a distribution agreement with Siemens Healthcare for the sale of its Calypso System in Europe. The Calypso System is a real-time localization technology used for the precise tracking of tumor targets.
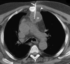
August 23, 2010 - Two companies recently signed a strategic partnership agreement drawing on both firms' established expertise in imaging technology to establish computed tomography (CT) as a viable, minimally-invasive imaging alternative for many cardiovascular procedures.
Radiology departments have many different needs and face a wide variety of challenges that can impact their departments ...
August 23, 2010 - A new, rapid method of labeling peptides with a fluorine-18 (F-18) positron-emission tomography (PET) radiotracer is being evaluated. Immunomedics Inc. and GE Healthcare announced they have entered into a license and collaboration agreement for the evaluation of labeling technologies based on Immunomedics' patented F-18 peptide labeling method.
August 19, 2010 – Researchers at the University of Maryland School of Medicine in Baltimore have developed a novel 3-D imaging approach that may improve the accuracy of treatment for ventricular tachycardia (VT). The potentially life-threatening heart rhythm disorder causes the heart to beat too fast.
August 19, 2010 – High-end imaging capabilities are offered in the ergonomically designed, portable Mindray premium M7 ultrasound system, being launched this week in the United States.
Despite decades of progress in breast imaging, one challenge continues to test even the most skilled radiologists ...
The fully transportable IMIX RadStation digital radiography (DR) system delivers full digital capability without mechanical modifications. A single RadStation provides a medical facility with an efficient and cost-effective way to achieve DR imaging from multiple portable X-ray systems.
August 19, 2010 – A transportable digital radiography (DR) system that can be moved and connected to any existing radiography system to deliver immediate imaging will be shown for the first time by IMIX Americas Inc. at the American Healthcare Radiology Administrators (AHRA) 2010 Annual Meeting, Aug. 23-25, in Booth 408 in Washington, D.C.
August 19, 2010 – New driving software for the Dent-X EVA Digital X-Ray sensor was unveil this past week. The EVAsoft software features Keep-On-Top, which allows X-ray images stay visible over any window so a doctor can simultaneously edit a patient’s chart, in any practice management software, while looking at the corresponding digital image.
Bayer Radiology’s Barbara Ruhland and Thom Kinst discuss how radiology departments can address the many different ...
August 19, 2010 – The Intersocietal Accreditation Commission (IAC) this week announced the launch of its new website, at www.intersocietal.org, along with new websites for each of its specialty divisions. These include: • ICAVL for noninvasive vascular testing, www.icavl.org • ICAEL for echocardiography, www.icael.org
August 20, 2010 – A newly launched website enables the convenience of Web-based medical imaging software from any location. Ramsoft’s ReadFromAnywhere.com site serves as a primer for potential clients new to digital imaging or to help clinicians seeking new, cost-effective imaging solutions.
August 19, 2010 – The Horizon Cardiology cardiovascular information system (CVIS) version 12.2 is being released and provides performance and usability improvements. It offers workflow enhancements to the current CVIS and electrocardiogram (ECG) management products. It also improves the integrated of the fractional flow reserve (FFR) module.
eHealth Saskatchewan plays a vital role in providing IT services to patients, health care providers, and partners such ...
August 18, 2010 - Cardiac computed tomography (CT) was found to be safe, accurate, and cost-effective in low risk patients in a recent scientific statement published by the American Heart Association (AHA), titled “Testing of Low-Risk Patients Presenting to the Emergency Department With Chest Pain.”
August 18, 2010 - Researchers from Mount Sinai School of Medicine have for the first time developed a way to visualize coronary artery plaques vulnerable to rupture using multicolor computed tomography (CT), an innovation that may lead to better and earlier diagnosis of cardiovascular disease. The data are published in the September issue of Radiology.
August 18, 2010 - PACSGEAR, a provider of imaging connectivity for electronic health records, announced the acquisition of all assets of NAI Tech Products of Auburn, Calif. NAI Tech Products is a medical device company specializing in the high quality digital video capture of medical images.
August 17, 2010 — The DRX-1C detector uses a cesium iodide scintillator to deliver exceptional image quality, with detective quantum efficiency (DQE) that is substantially higher than the DRX-1 detector. It is the latest expansion to Carestream Health's family of imaging solutions based on its wireless, cassette-size digital radiography (DR) detectors.
August 17, 2010 – Fluke Biomedical announced today a major expansion of service options for its customers across the United States. New CarePlans extended-warranty packages, as well as onsite and mobile services, offer priority services to ensure a new level of convenience for users of Fluke Biomedical best-in-class medical test and safety equipment.
August 17, 2010 — DISC announced that as of August 1, 2010, Associated X-Ray Imaging Corp., Haverhill, MA is the new representative for DISC products throughout the Northeastern United States.
August 16, 2010 – Software version 3.01 for CS-3 Control Station has been released by Konica Minolta. It supports the company’s new image resend feature and enables users to connect an existing CS-3 to the dual bay Xpress CR 210 with C-plate technology.
August 17, 2010 — NightHawk Radiology Services, a provider of radiology solutions to radiology groups across the United States, announced the availability of its Client Peer Review (CPR), part of its Quality Assurance Program, to provide an objective measure of effective communication and reporting accuracy based on the impact on patient outcomes.
August 23, 2010 