October 16, 2023 — GE HealthCare announced it signed a $44 million contract with the Biomedical Advanced Research and ...
October 13, 2023 — Arineta Cardiac Imaging is excited to announce the FDA 510(k) clearance of the SpotLight and ...
October 13, 2023 — Hospital TV leader LG Business Solutions and healthcare technology innovator Aceso Interactive are ...
AT A GLANCE Organization: Expert Radiology Management Services, LLC Specialty: Subspecialty teleradiology — neuro and ...
October 13, 2023 — Locally run large language models (LLMs) may be a feasible option for extracting data from text-based ...
Registration is now open for The Radiological Society of North America’s (RSNA) 2023 Conference: Leading Through Change ...
October 12, 2023 — Hyperfine, Inc., a groundbreaking medical device company that has redefined brain imaging with the ...
Radiology departments have many different needs and face a wide variety of challenges that can impact their departments ...
October 12, 2023 — Carestream Health announces a new future-focused partnership with EXAMION, a leading provider and ...
October 12, 2023 — The American College of Radiology (ACR) released an update to its ACR Appropriateness Criteria (ACR ...
October 12, 2023 — Global health technology company Qure.ai has named Samir S. Shah, MD, MMM, FACR, as its Chief Medical ...
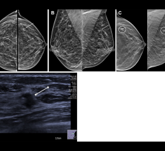
Despite decades of progress in breast imaging, one challenge continues to test even the most skilled radiologists ...
October 11, 2023 — GE HealthCare today announced an exclusive global licensing agreement with SOFIE Biosciences (SOFIE) ...
October 11, 2023 — Royal Philips (NYSE: PHG, AEX: PHIA), a global leader in health technology, has announced the ...
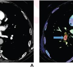
October 11, 2023 — A new imaging agent, 68Ga-ABY-025, can predict early metabolic response to human epidermal growth ...
Bayer Radiology’s Barbara Ruhland and Thom Kinst discuss how radiology departments can address the many different ...
A University of Miami Radiation Oncology department summary noted: “In radiation oncology, the art of patient care meets ...
Tune in to ITN’s latest “One on One” video series with Michael Butkus, PhD, for insights into proton therapy ...
October 10, 2023 — Emergency physicians attending the ACEP23 conference in Philadelphia were the first to see the new ...
October 10, 2023 — Realizing a vision to deliver the best care to patients close to where they live in northern Ohio, GE ...
October 10, 2023 — The Centers for Medicare and Medicaid Services (CMS) announced Oct. 6 new guidance in response to the ...
October 9, 2023 — SamanTree Medical, a medical technology company specializing in innovative solutions to improve cancer ...
October 9, 2023 — mTuitive, a leading provider of data enablement solutions for healthcare, announced its groundbreaking ...
October 9, 2023 — CIVCO Radiotherapy and Qfix announced the launch of a new brand, CQ Medical. This brand reflects the ...
October 16, 2023 