Ashley County Medical Center, Crossett, Ark., is the first hospital in the United States to install Carestream’s DRX-Excel Plus radiography/fluoroscopy (R/F) system.
April 27, 2016 — IBA (Ion Beam Applications S.A.) announced the release of Dolphin Online Ready Patient QA and ...
Patterns of brain activity thought to show pain responses have been called into question after researchers saw such patterns in rare patients born without a sense of pain.
Radiology departments have many different needs and face a wide variety of challenges that can impact their departments ...
The results of a secondary analysis of the SCOT-HEART trial show that coronary computed tomography angiography (CCTA) leads to a more appropriate and effective selection of invasive coronary angiography for patients with suspected angina due to coronary heart disease.
In a study appearing in the April 26 issue of JAMA, researchers examined the content, readability and understandability of dense breast notifications sent to women following screening mammography.
April 26, 2016 — Repeated head impacts to high school football players cause measurable changes in their brains, even ...
Despite decades of progress in breast imaging, one challenge continues to test even the most skilled radiologists ...
Philips announced that any hospital or healthcare facility with one of its indicated computed tomography (CT) models can now become a lung cancer screening center.
A new study from Elizabeth A. Rafferty, M.D., formerly of Massachusetts General Hospital, and colleagues evaluated the screening performance of digital mammography combined with tomosynthesis compared with digital mammography alone for women with varying levels of breast density.
Oklahoma Gov. Mary Fallin signed HB2601 into law, making the Oklahoma the 26th state to report a patient's breast tissue composition through the mammography reporting results.
Bayer Radiology’s Barbara Ruhland and Thom Kinst discuss how radiology departments can address the many different ...
The Federal Trade Commission (FTC) announced that it has created a Web-based guidance tool for developers of health-related mobile applications (health apps).
The American Society of Radiologic Technologists (ASRT) has launched Vascular Interventional Essentials, a new educational program that explores the image-guided procedures of interventional radiology.
April 25, 2016 — Doctors and scientists at the University of Southampton have used advanced 3-D X-ray imaging technology ...
eHealth Saskatchewan plays a vital role in providing IT services to patients, health care providers, and partners such ...
Siemens Healthcare announced the U.S. Food and Drug Administration (FDA) has cleared two new magnetic resonance imaging (MRI) applications – Simultaneous Multi-Slice (SMS) and GOBrain – designed to dramatically reduce the time required for MRI examinations of the brain.
April 25, 2016 — MR Solutions and Vision RT were among the winners in the 2016 Queen’s Awards for Enterprise in the ...
Carestream and Intel are collaborating to ensure practical, high-performance solutions for enterprise imaging and information platforms that can be deployed in secure clouds or on-site data centers.
EOS imaging, a in 2D/3D orthopedic medical imaging, announced today that the U.S. Food and Drug Administration (FDA) has approved spineEOS, an online 3D planning software for spine surgery based on EOS stereo-radiographic 2D/3D imaging.
Vital Images, Inc., a Minneapolis-based advanced medical imaging and informatics company, launched “VNA on demand” to the global marketplace. While Vital continues to lead the world in advanced visualization and personalized medicine algorithms, 2016 heralds an increased focus on enterprise informatics.
HealthMyne, an imaging informatics company, announced 510(k) clearance from the U.S. Food and Drug Administration (FDA). The new analytics software package is designed to provide radiologists with significant workflow efficiencies related to oncology cases, as well as advanced decision support.
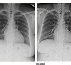
In a recent study and white paper, Frost & Sullivan concluded that Agfa HealthCare’s DR platform, highlighted by its MUSICA image processing software, is “well differentiated” from the competition and meets “best of breed” status by addressing “The Three Pillars of Digital Radiography’s Value Proposition:” producing excellent image quality, keeping radiation dose as low as reasonably achievable and enabling high workflow productivity.
Using a sophisticated magnetic resonance imaging (MRI) technique, researchers have found abnormalities in the brain’s white matter tracts in patients with insomnia.
April 27, 2016 