September 28, 2018 — Artificial intelligence (AI) driven by machine learning (ML) algorithms is a branch in the field of ...
https://www.congress.gov/bill/115th-congress/house-bill/1298?q=%7B%22se… cancer care advocacy groups and medical societies are calling on Congress to pass the CT Colonography Screening for Colorectal Cancer Act (S.3465/HR 1298). The bipartisan bill introduced in the U.S. Senate September 19 would provide Medicare coverage for screening computed tomography colonography (CTC), commonly known as virtual colonoscopy.
Accuray Inc. announced that published data from two prospective, multi-center studies using differing protocols provide consistent results and reinforce the use of the CyberKnife System for the effective management of low- and intermediate-risk prostate cancer. These studies are the largest conducted to date evaluating stereotactic body radiation therapy (SBRT) in patients with localized prostate cancer. The studies were recently published online in the International Journal of Radiation Oncology*Biology*Physics and in European Urology Oncology.
Radiology departments have many different needs and face a wide variety of challenges that can impact their departments ...
Eric Morris, a Ph.D. candidate at Henry Ford Hospital and Wayne State University, explains his project to automate ...
Advancements in healthcare technology, particularly in the surgery category, have led to an increasing adoption of gamma cameras. Further, the numerous developments in radionucleotides are anticipated to favor the adoption of solid state cameras and mobile gamma cameras. These findings are presented in a new research study on the global mobile gamma cameras market by Future Market Insights (FMI).
September 26, 2018 — Black women are more likely to be diagnosed at later stages of breast cancer partly due to barriers ...
Despite decades of progress in breast imaging, one challenge continues to test even the most skilled radiologists ...
Leveraging years of industry-leading expertise in flat-panel display technology, LG Business Solutions has expanded ...
Transitioning to the optimal performance of new imaging systems in turn requires migration of data to the new system ...
September 26, 2018 — When it comes to surviving cancer, early detection and treatment could be the key to a patient's ...
Bayer Radiology’s Barbara Ruhland and Thom Kinst discuss how radiology departments can address the many different ...
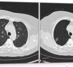
September 26, 2018 — Bruker recently announced the introduction of the new preclinical PET/CT Si78 scanner for whole ...
September 25, 2018 — Intelerad Medical Systems announced that following the retirement of Randall Oka, its board of ...
TransformativeMed, a provider of directly embedded, smart clinical workflow solutions for electronic health records (EHRs), will debut a new, mobile and machine learning-enhanced CORE Value Suite at the Cerner Health Conference (CHC), Oct. 8-11 in Kansas City, Mo.
eHealth Saskatchewan plays a vital role in providing IT services to patients, health care providers, and partners such ...
September 25, 2018 — Laurel Bridge Software announced improvements to their Exodus Migration and Consolidation ...
September 21, 2018 — Osprey Medical announced a collaboration with GE Healthcare on Osprey’s Be Kind to Kidneys campaign ...
RaySearch recently strengthened its position in the U.K. market with a major order for the treatment planning system RayStation from Leeds Cancer Centre (LCC), U.K. RayStation will replace the existing treatment planning system.
EOS imaging recently announced the first installation of an EOS system in Mexico, the largest Central American market, at Shriners Hospitals for Children – Mexico, located in Mexico City.
AngioDynamics Inc. announced an agreement to acquire RadiaDyne, a privately held medical diagnostic and device company that designs and develops patient dose monitoring technology to improve cancer treatment outcomes.
Physicians and technologists at Children’s Hospital of Philadelphia (CHOP) will be able to conduct research and education on the use of contrast ultrasound thanks to a $300,000 grant from Bracco Diagnostics Inc. USA. Contrast ultrasound is a relatively new technology that was only approved for use in pediatric patients in 2016. CHOP is among the first pediatric hospitals to use this technology in the U.S.
ViewRay Inc. announced that Acibadem Maslak Hospital in Istanbul, Turkey has begun treating patients with ViewRay's MRIdian Linac. The MRIdian Linac is the first system to combine magnetic resonance imaging (MRI) guidance and linear accelerator radiation delivery. These treatments mark the first in Turkey using MRI-guided radiation therapy.
At the 2018 Transcatheter Cardiovascular Therapeutics (TCT) conference, Sept. 21-25 in San Diego, Siemens Healthineers will showcase new products that span the continuum of care in cardiology. Introducing solutions in both the laboratory and imaging spaces, Siemens Healthineers will debut a new ultrasound real-time intra-cardiac echo (ICE) catheter and High-Sensitivity Troponin I assays. The company is also a sponsor of the Interventional Imaging and Endovascular Pavilions at TCT, supplying hands-on workshops and simulations for continuing education.
September 28, 2018 