• Sept. 30, 2025 — A new study from the Harvey L. Neiman Health Policy Institute found that attrition (i.e., exit) from the radiology workforce differed by radiologist and practice characteristics. Significantly higher attrition was observed for female versus male radiologists, subspecialists versus

  • Sept. 25, 2025 — GE HealthCare has announced updates to Intelligent Radiation Therapy (iRT), a new version of the company’s software solution for radiation therapy workflow management, designed to reduce the time it takes for patients to go from diagnosis to treatment. The iRT solution is AI

  • Sept. 23, 2025 — GE HealthCare's Genesis portfolio, with cloud-enabled software as a service (SaaS) solutions for enterprise imaging, is now available in Amazon Web Services (AWS} Marketplace, providing more ways for hospitals and health systems to adopt the Genesis software suite and to help

  • Sept. 15, 2025 — Cook Medical and Siemens Healthineers have announced a strategic commercial partnership aimed at setting a new standard for interventional medicine. The collaboration combines the power of Siemens Healthineers real-time magnetic resonance imaging with Cook Medical's deep

  • Brain metastases are 10 times more common than primary brain tumors, occurring in 10 to 20% of adult patients with cancer.1 The current limit of detection clinically is 2 to 5 mm in diameter, though metastases are more typically detected between 5 mm and 1 cm.2 Yet in their earliest stages

News | RSNA 2025

Oct. 7, 2025 — RSNA Ventures, a mission-aligned subsidiary of Radiological Society of North America (RSNA), has ...

Time October 08, 2025
Home
News | RSNA 2025

Oct. 7, 2025 – Clairity Inc., a leader in AI-based breast cancer risk prediction, will make five scientific ...

Time October 07, 2025
Home
News | Magnetic Resonance Imaging (MRI)

Oct. 6, 2025 — Hyperfine, Inc. has launched the Portable Ultra-Low-Field Scientific Exchange (PULSE), a subscription ...

Time October 06, 2025
Home
News | Women's Health

Oct. 3, 2025 — IceCure Medical Ltd., developer of minimally-invasive cryoablation technology that destroys tumors by ...

Time October 06, 2025
Home
News | Breast Imaging

Oct. 3, 2025 — Gnosis for Her, a mobile breast health initiative redefining comfort and access in women's breast imaging ...

Time October 06, 2025
Home
News | Mammography | Mayo Clinic

Early detection is key to breast cancer survival. But nearly half of all women in the U.S. have dense breast tissue ...

Time October 03, 2025
Home
News | Radiology Education

Sept. 25, 2025 — Siemens Healthineers has launched its first United States-based Experience Center at The Pearl ...

Time October 03, 2025
Home
News | Proton Therapy

Sept. 28, 2025 — Leo Cancer Care has launched Grace, the company's upright photon therapy system. Grace is named after ...

Time October 03, 2025
Home
News | Magnetic Resonance Imaging (MRI)

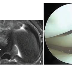
September 24, 2025—According to the American Journal of Roentgenology (AJR), MRI can reliably identify lateral meniscal ...

Time October 03, 2025
Home
News | Prostate Cancer

Sept. 26, 2025 — A new fast and convenient approach to scintigraphy-based monitoring allows physicians to efficiently ...

Time October 03, 2025
Home
News | Radiopharmaceuticals and Tracers

Oct. 01, 2025 – Nuclidium AG, a clinical-stage radiopharmaceutical company developing a proprietary copper-based ...

Time October 02, 2025
Home
News | Radiology Business | Harvey L. Neiman Health Policy Institute

Sept. 30, 2025 — A new study from the Harvey L. Neiman Health Policy Institute found that attrition (i.e., exit) from ...

Time October 02, 2025
Home
News | Mammography

Sept. 26, 2025 — Data from two groundbreaking studies evaluating the performance of Hologic’s artificial intelligence ...

Time October 02, 2025
Home
News | Ultrasound Women's Health

Sept. 30, 2025 — Sona, the first free, HIPAA-compliant platform that securely delivers ultrasound images directly to ...

Time October 02, 2025
Home
News | Prostate Cancer

Sept. 30, 2025 – EDAP TMS's non-invasive, nonsurgical treatment option, Focal One Robotic HIFU, was featured on national ...

Time September 30, 2025
Home
News | Computed Tomography (CT)

Sept. 29, 2025 — Many studies have shown the inverse relationship between bone mineral density (BMD) — the gold standard ...

Time September 30, 2025
Home
News | Radiation Therapy | American Society for Radiation Oncology (ASTRO)

Sept. 29, 2025 — Radiation therapy may offer a comparable and potentially safer alternative to repeat catheter ablation ...

Time September 30, 2025
Home
News | Radiation Therapy

Sept. 26, 2025 – Accuray Inc. has introduced the Accuray Stellar* solution. Initially for the U.S. market, the new ...

Time September 29, 2025
Home
News | Computed Tomography (CT)

Sept. 26, 2025 — At the American Society for Radiation Oncology (ASTRO) 2025 annual meeting in San Francisco, Calif ...

Time September 29, 2025
Home
News | Lung Imaging

Sept. 26, 2025 ― Researchers from the University of Texas MD Anderson Cancer Center will present new data at the ...

Time September 29, 2025
Home
Subscribe Now