August 31, 2023 — The Association for Medical Imaging Management (AHRA) announced that it has hired Jason Newmark, BA ...
August 31, 2023 — NorthStar Medical Radioisotopes, LLC, a global innovator in the development, production and ...
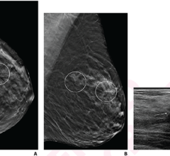
August 31, 2023 — A new article published in RadioGraphics, a journal of the Radiological Society of North America (RSNA ...
Radiology departments have many different needs and face a wide variety of challenges that can impact their departments ...
As we wind down the summer months, ITN takes a look at the Top 10 most-read pieces of content from www.itnonline.com ...
August 31, 2023 — The Society for Imaging Informatics in Medicine (SIIM) is planning for participants to return for in ...
August 30, 2023 — Clarius Mobile Health, a leading provider of high-definition handheld ultrasound systems, and Echo ...
Despite decades of progress in breast imaging, one challenge continues to test even the most skilled radiologists ...
August 30, 2023 — Elekta and the IAEA have signed a partnership agreement to jointly pursue common interests, including ...
August 30, 2023 — A published study by researchers at the University of Cincinnati Cancer Center and Cincinnati Children ...
August 29, 2023 — Combining artificial intelligence (AI) systems for short- and long-term breast cancer risk results in ...
Bayer Radiology’s Barbara Ruhland and Thom Kinst discuss how radiology departments can address the many different ...
August 29, 2023 — NorthStar Medical Radioisotopes, LLC (“NorthStar"), a global innovator in the development, production ...
August 29, 2023 — Mammograms are an essential part of preventive healthcare, and when an initial review reveals a ...
August 28, 2023 — Prasugrel monotherapy after percutaneous coronary intervention (PCI) with drug-eluting stents is not ...
eHealth Saskatchewan plays a vital role in providing IT services to patients, health care providers, and partners such ...
August 28, 2023 — TerraPower Isotopes and PanTera, the Belgian joint venture created by SCK CEN and IBA, announced that ...
ITN’s award-winning editorial team delivers industry trends and technology information to the professionals who make ...
August 24, 2023 — Medical imaging via X-rays, CT scans, MRIs and ultrasounds provide health-care professionals with ...
August 23, 2023 — Fujifilm Healthcare Americas Corporation, a leading provider of diagnostic imaging and medical ...
August 23, 2023 — RefleXion Medical, a therapeutic oncology company, today announced that the first patient has ...
August 23, 2023 — iCAD, Inc., a global medical technology leader providing innovative cancer detection and therapy ...
August 23, 2023 — With the goal of ensuring access to safe and clinically useful AI for all pediatric patients, the ...
August 22, 2023 — Using MRI as a screening test alongside PSA density allowed detection of cancers that would have been ...
August 31, 2023 