Earlier this year, I had the opportunity to sit down and talk with leading breast cancer specialist Wendie Berg, MD, PhD ...
September 22, 2023 — Hologic Inc. and Bayer announced an international partnership to deliver contrast-enhanced ...
September 22, 2023 — Lunit, a leading provider of AI-powered solutions for cancer diagnostics and therapeutics, today ...
Radiology departments have many different needs and face a wide variety of challenges that can impact their departments ...
September 22, 2023 — According to an accepted manuscript published in the American Journal of Roentgenology (AJR) ...
Jesse Ehrenfeld, MD, MPh, FAMIA, FASA, FCPP, president of the American Medical Association (AMA), addressed the topic of ...
In countries with organized screening programs, regular breast cancer screening has been a crucial tool in the clinician ...
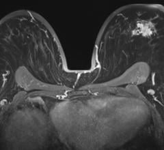
Despite decades of progress in breast imaging, one challenge continues to test even the most skilled radiologists ...
September 21, 2023 — Declines in cardiovascular procedure volumes observed early in the COVID-19 pandemic greatly ...
September 21, 2023 — Imaging Biometrics, LLC announced the results of a study that validates IB Neuro’s processing of ...
September 21, 2023 — Scientists in Moscow have successfully engineered a prototype detector for X-ray and PET/CT ...
Bayer Radiology’s Barbara Ruhland and Thom Kinst discuss how radiology departments can address the many different ...
The radiation oncology community lost a leader this past summer, with the passing of Jay Loeffler, MD, FACR, FASTRO. He ...
An overview of significant developments in proton therapy, over just the past six months, reinforces the pace of ...
September 20, 2023 — aycan, a recognized leader in medical imaging, announced today a new solution for reviewing DICOM ...
eHealth Saskatchewan plays a vital role in providing IT services to patients, health care providers, and partners such ...
Early-stage detection is key to the prevention of life-threatening diseases; however, limited access to data hinders the ...
Handheld ultrasound has not yet reached mainstream adoption, but the market is still forecast to reach over $500 million ...
September 20, 2023 — GE HealthCare released its inaugural Sustainability Report, which describes the steps the company ...
September 20, 2023 — Medical imaging artificial intelligence (AI) company Annalise.ai has announced that the results ...
September 20, 2023 — RefleXion Medical, Inc., a therapeutic oncology company and 3B Pharmaceuticals (3BP) GmbH, a ...
In June, the Philips Radiology Experience Tour hit the road to provide healthcare professionals with an opportunity to ...
The world of medical imaging is marking a significant milestone in 2023: the 50th anniversary of magnetic resonance ...
September 19, 2023 — Clearpath Technologies announced the launch of its patient solution, PatientConnect, which it ...
September 25, 2023 