Contributing Editor Greg Freiherr offers an overview of computed tomography (CT) advances at the Radiological Society of North America (RSNA) 2015. The video includes Freiherr during his booth tours with some of the key vendors who were featuring new technology.
Technology Report:
Computed Tomography (CT)
Related Content
Blog
With its million-dollar scanners and their mushrooming use in recent years, medical imaging has become the poster child…
News
October 8, 2012 — A new approach to lung scanning could improve the diagnosis and treatment of a lung disease that…
Technology
UW, GE Announce Anticipated $32.9MM Investment toward Next Frontier in Diagnostic Imaging, Radiology
October 5, 2012 — Imagine a place where doctors can tell patients in advance if cancer treatment will work for them,…
Sponsored Content
Sponsored Content
Videos | Radiology Business
Radiology departments have many different needs and face a wide variety of challenges that can impact their departments ...
News
October 5, 2012 — Advocate Health Care, one of the nation's top health systems and the largest integrated health care…
Technology
Ascendian Healthcare Consulting offers enterprise dose reduction solutions. It provides practices with solutions to…
News
September 26, 2012—Cancer Treatment Centers of America (CTCA), a national network of hospitals focusing on complex and…
Sponsored Content
Feature | Breast Imaging
Despite decades of progress in breast imaging, one challenge continues to test even the most skilled radiologists ...
News
September 24, 2012—The new U.S. Food and Drug Administration Safety and Innovation Act (FDASIA) imposes many Medical…
News
September 20, 2012 — Each autumn, with an eye on the winter months ahead, squirrels gather nuts to prepare for the…
News
According to a study in the September issue of the Journal of the American College of Radiology, overall noninvasive…
Sponsored Content
Sponsored Content
Videos | Radiology Business
Bayer Radiology’s Barbara Ruhland and Thom Kinst discuss how radiology departments can address the many different ...
News
September 11, 2012 — Data presented at the 2012 European Society of Cardiology (ESC) Congress in Munich, Germany, from…
News
September 7, 2012 — The American Medical Association (AMA) recently sent letters to Sen. Ben Cardin of Maryland and Rep…
Feature | Dave Fornell
There has been much debate whether computer-aided detection software for computed tomography (CT) to detect coronary…
Sponsored Content
Case Study | PACS
eHealth Saskatchewan plays a vital role in providing IT services to patients, health care providers, and partners such ...
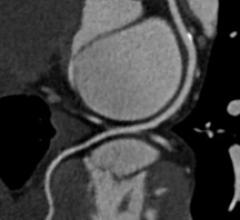
Case Study
Coronary arteries supply blood to the left ventricular muscle (myocardium). Obstructions within the coronary arteries…
News
August 30, 2012 — An ultra-fast, 320-detector computed tomography (CT) scanner can accurately sort out which people…
Blog
Cardiac computed tomography (CT), magnetic resonance imaging (MRI), echocardiography and nuclear myocardial perfusion…
Blog
We want absolutes; things we can depend on; certainties in an unfortunately uncertain world. It’s the kind of faith we…
Videos | Computed Tomography (CT)
Web Stayman, Ph.D., Johns Hopkins University, presents an overview of research he presented at the 2012 American…
Feature
August 27, 2012 - A recent multi-center study, led by researchers from Wake Forest School of Medicine and published in …
Feature
August 22, 2012 — In a head-to-head contest between the New Orleans Criteria (NOC) and the Canadian Computed…
Feature
August 24, 2012 — West Physics Consulting, a national provider of medical and health physics consulting and testing…
© Copyright Wainscot Media. All Rights Reserved.
Subscribe Now
October 11, 2012 