June 11, 2009 - Bioptics will demo its Core Vision Radiography System at the Society of Nuclear Medicine, June 13-17, 2009 in Toronto, Ontario. The company recently received 510K cleared to use Core Vision Radiography System in core biopsy analysis.

June 11, 2009 - According to a study published by the Journal of Vascular & Interventional Radiology, the VNUS ClosureFAST system for radiofrequency (RF) thermal ablation is "significantly superior" to endovenous laser (EVL) for treating venous reflux, the underlying cause of symptomatic varicose veins.  

June 10, 2009 - Royal Philips Electronics penned an agreement to become an official medical equipment supplier of the New York Yankees. As part of the agreement, a state-of-the-art digital radiology system was installed inside Yankee Stadium, enabling onsite diagnosis of players by the Yankees medical team.

June 11, 2009 - NordicNeuroLab said this week the FDA issued 510(k) approval for nordicICE Perfusion/Dynamic Contrast Enhanced (DCE) Module, software for analysis of MR perfusion and contrast agent permeability.

June 11, 2009 – STERIS Corp. and Siemens Medical Solutions USA Inc. announced today at the Society of Vascular Surgeons annual meeting in Denver, Colo., that they have agreed to collaborate to offer optimized vascular, cardiovascular and neurosurgical hybrid surgical suites.
 

June 11, 2009 – PETNET Solutions, a subsidiary of Siemens Medical Solutions USA Inc. that manufactures and distributes radiopharmaceuticals, has signed a supply agreement with Lantheus Medical Imaging Inc. to provide BMS747158 for PET imaging of cardiac perfusion as part of the phase II and phase III trials.


The aim of every radiation oncologist when treating a patient is to deliver radiation dose as accurately as possible. To better hit their mark, clinicians are relying increasingly on imaging to guide them to the target, which in the case of prostate cancer is often a moving target. Accordingly, the role of imaging in this year’s NCCN Prostate Cancer Guidelines was a critical component.



Molecular imaging in clinical trials accelerates the development of promising compounds by allowing physicians to see and assess whether a drug is working as intended for a patient.



Could earlier diagnosis and pre-symptomatic disease detection truly lead to disease prevention? Healthcare is on the cusp of a paradigm shift from a reactionary to a preventative approach to managing disease through diagnostic imaging and radiolabeled probes. So what is holding it back?
Benefits of early detection



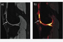
New and improved techniques in magnetic resonance imaging (MRI) are popping up every day, stemming from innovations developed by physicians and manufacturers alike. Many of these new techniques are especially conducive to high-field systems — 3.0 Tesla (3T) systems and higher.

3T Advances


Subscribe Now