In the 1970s when I studied at the University of Wisconsin-Madison, the UW had a reputation for being a hotbed of insurrection. I did my part in 1975 by wearing Gerald Ford’s WIN button upside down. It was a tacit repudiation of the idea that a public relations campaign could spawn a grassroots movement to “Whip Inflation Now” and an implied statement that there are “No Immediate Miracles.”



Magnetic resonance imaging (MRI) has emerged as a valuable imaging modality for breast cancer detection and staging. Dynamic contrast-enhanced MRI (DCE-MRI) is the most sensitive technique for screening high-risk women and for evaluating the extent of disease in patients with a recent diagnosis of breast cancer.[1,2] Despite its numerous advantages, the moderate specificity of DCE-MRI can result in a substantial number of false positive findings that translate to high recall rates and unnecessary biopsies. 



Multiple industries have undergone a complete metamorphosis as a result of advancing electronics, and the medical world is no exception. Perhaps a little late to recognize the technological transformation, the healthcare industry is finally catching on to the latest trends and incorporating the newest devices into everyday use. One device, in particular, is going to revolutionize medicine forever.



Treatment of early stage breast cancer continues to evolve as researchers investigate more novel and efficient methods of radiotherapy. Clinical trials on accelerated partial breast irradiation (APBI) are showing that these newer methods can offer carefully selected patients several advantages over traditional whole breast irradiation (WBI).


In the small rural town of Kingman, AZ — approximately 90 minutes southeast of Las Vegas — most of its 28,000-plus population are economically disadvantaged; some of them still work in local gold and silver mines. So for women living in the area, getting a mammogram every year isn’t a priority; in fact, notes Dr. Christopher Johansen, Kingman Regional Medical Center (KRMC) Radiologist and Director of its Breast Imaging Program, “Many of our residents don’t have health insurance. And many aren’t even aware of the importance of getting annual mammograms.”  


There were three key trends in X-ray vascular imaging systems made evident from new products showcased at the Radiological Society of North America (RSNA) annual meeting in late 2012. These include new hardware and software to lower ionizing radiation doses and improve image quality, better dose tracking software, and enhanced maneuverability for improved patient access and use in the growing hybrid OR market. As interventional procedures become more complex, imaging times have increased, raising concerns that are now being addressed by vendors.


Lancaster General Health is a 550-bed system in Central Pennsylvania performing nearly 500,000 exams per year in its major acute-care hospital, rehabilitation hospital, women’s center and 12 outpatient facilities. The 28 diagnostic radiologists and three radiation oncologists at Lancaster Radiology Associates, Ltd. handle all the radiology services for the health system, providing around-the-clock coverage using the McKesson Radiology picture archiving communications system (PACS). Leigh S. Shuman, M.D., a practicing radiologist at Lancaster Radiology Associates and the PACS medical director for the health system, recently spoke to us about the rollout of a workflow solution, the McKesson Qualitative Intelligence and Communications System (QICS) by peerVue. 


Imaging children has challenges that relate to the size, maturity and anxiety of the patient. In addition, we have become increasingly aware of the risks associated with radiation exposure, an issue that is of paramount importance to young patients. Through the efforts of professional organizations, industry and the Image Gently campaign, launched in 2008 by The Alliance for Radiation Safety in Pediatric Imaging, tremendous advancements have been made in technology and its use to help meet these challenges.



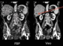
New computed tomography (CT) dose studies and growing public media attention have made minimizing unnecessary radiation dose to patients a priority for medical imaging facilities. In addition, state regulatory agencies and accrediting bodies are increasing their oversight and regulation of radiation dose. Reducing dose while maintaining good clinical image quality, however, is complex. 



The American Society for Radiation Oncology (ASTRO) has issued a new white paper, “Assuring Safety and Quality in Image Guided Delivery of Radiation Therapy,” that recommends best practices to improve the safety and effectiveness of image guided radiation therapy (IGRT), according to the manuscript published as an article in the online journal Practical Radiation Oncology (PRO).


Subscribe Now