In the healthcare organization of today, picture archive and communication systems (PACS) are a mainstay. Introduced to the healthcare world in the early 1990s, these systems have given providers a solution for storing, viewing and sharing patients’ medical images. In recent years electronic medical records (EMRs) and other health information systems have also gained popularity for storing and transmitting patients’ healthcare information. These systems, for the most part, have been specific to each hospital, practice and even department. As healthcare becomes more interactive and connected, with a focus on efficiency, healthcare organizations around the country are investing in ways to make these systems interoperable within the facility and across the enterprise.



Despite significant advances in imaging and therapy, cancer continues to be a leading health concern worldwide. One type of therapy that has been available for decades and is seeing a recent resurgence as a result of emerging technologies is targeted radionuclide therapy (TRT). In its basic form, TRT involves certain types of radioisotopes bound to a specific carrier molecule that allows the radiopharmaceutical (radioisotope plus carrier molecule) to selectively attach to certain cells. Only certain radioisotopes are favored for TRT because they give off the right type of radiation (either alpha or beta radiation) that kills cancer cells and shrinks tumors by damaging the cells’ DNA. 



Over the last decade, the field of medical imaging has evolved from analog technology toward the digital age. This shift in medical imaging has seen the emergence of flat panel detector (FPD) technology in everything from cardiology systems to portable X-ray equipment. Digital solutions have already begun to revolutionize medical imaging by offering improved image quality, faster processing time and dose reduction advantages over their analog predecessors. Those who have already adopted digital imaging are part of a market that continues to grow, expected to reach a sum of more than $35 billion by 2019.



In terms of duration of treatment and cost, patients with early stage breast cancer may benefit from accelerated partial breast irradiation (APBI) with proton therapy versus whole breast irradiation (WBI), according to new research from The University of Texas MD Anderson Proton Therapy Center.


Gammex “micro” diode laser

The Gammex “micro” diode laser family offers an economical alternative to conventional laser systems used for alignment purposes. Gammex “micro” has dimensions that are considerably smaller than other fixed lasers. 


Physicians at Northwestern Memorial Hospital in Chicago were as stunned in 1979 by Godfrey Hounsfield’s exclamation as Hounsfield was at the computed tomography (CT) image. “My word, what is that?” asked the inventor of computed tomography, who later that year would receive the Nobel Peace Prize for his invention.


For Houston Healthcare in Warner Robins, Ga., patient safety has always been a priority. Clinicians can now image patients with the lowest possible dose without compromising diagnostic accuracy, and the facility has seen a 65 percent radiation dose reduction in routine abdomen/pelvis exams, a 59 percent dose reduction for routine chest exams and a 7 percent reduction in routine head procedures.  

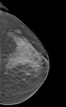
Patients are noticing the difference since Rye Radiology implemented 3D mammography more than two years ago, in 2012. Some are amazed they no longer need extra views. Some are grateful their 3D exam found that suspicious lesion when it was small and easier to manage. At least one patient credits the 3D exam with saving her life.  


This year marks the 100th anniversary of the Radiological Society of North America (RSNA), and is being celebrated through the theme “A Century of Transforming Medicine.” Numerous activities are planned to celebrate its century mark Nov. 30 through Dec. 5 at McCormick Place in Chicago, including a Centennial Showcase. Imaging Technology News (ITN) congratulates RSNA on this monumental success, and for all it has done for this industry and its community over the years. You can preview some of new technology and products that will be offered at RSNA in our show preview on page 17. Also, be sure to look at ITN’s FastPass microsite at www.itnonline.com/rsna-fastpassWe invite you to come visit us during the show in the South Hall at booth 1715.


Subscribe Now