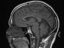
New research, published in the journal Radiology, suggests some types of a popular contrast agent used in magnetic resonance imaging (MRI) exams may remain in the brain for years, but that the long-term effects are unknown.


Rayence Inc. announced that the RU-3000 Digital Universal Radiography System has received 510(k) clearance from the U.S. Food and Drug Administration (FDA). The RU-3000 is the first U-arm system to be marketed by Rayence in the United States. Its small footprint and compact design allows for easy installation, and its dual telescoping arm movement permits installation in settings having ceiling heights of just 8 feet.

In response to the proposed mammography guidelines from the U.S. Preventive Services Task Force (USPSTF), Strategic Radiology (SR) recommends regular screening mammography for women beginning at age 40 in order to reduce breast cancer mortality. SR joins other organizations — including the American Congress of Obstetricians and Gynecologists (ACOG), the American College Of Surgeons, Susan G. Komen for the Cure, American Cancer Society (ACS), American College of Radiology (ACR) and Society of Breast Imaging (SBI) — in speaking out against the USPSTF guidelines.

Carestream showcased the advanced interoperability of its Clinical Collaboration Platform (CCP) at the IHE-Europe (Integrating the Healthcare Enterprise) Connectathon held April 20-24 in Luxembourg. Carestream announced that the CCP product suite successfully passed all integration tests at the Connectathon including all profiles for its universal viewer, vendor-neutral archive (VNA) and image capture solutions. Carestream is also among the first VNA suppliers to implement HL7's new Fast Healthcare Interoperability Resources (FHIR) framework.

vRad (Virtual Radiologic) announced that it ranked No. 49 on 2015’s InformationWeek Elite 100, a list of top business-technology innovators in the United States. The company was ranked No. 9 amongst those winners in the Healthcare industry.

Konica Minolta Medical Imaging Americas announced it has achieved record sales growth for fiscal year ended March 31, 2015, led by sales of their digital radiography family. The success of the wireless Konica Minolta AeroDR panel fueled company growth to double-digit sales figures, exceeding expectations.  The AeroDR family of digital radiography solutions includes the AeroDR XE, a wireless flat panel detector specially engineered. The Primary Imaging Solutions also includes the Sonimage ultrasound family.

Research firm KLAS released a new report on electronic medical record (EMR) usability and product performance over the past two years, revealing how physicians and other users rate various vendors and solutions. The report, entitled “Physician Leadership Weighs In on Acute Care EMR Usability” compares usability performance in the acute care EMR market segment.

Viztek announced the availability of the Basic U-Arm, a new U-Arm digital X-ray system. Ideal for urgent care and orthopedic settings, among others, the system combines the benefits of a typical U-Arm system at an affordable entry point for many facilities.

Kubtec recently named new regional sales managers for the global markets. The appointments were made to meet the rising demand for Kubtec‘s products worldwide, including Mozart with TomoSpec, a specimen tomosynthesis system for excised breast tissue, and KUB 250, a high-resolution, low-dose portable digital X-ray system dedicated for neonatal imaging.

Subscribe Now