June 17, 2016 — Epsilon Imaging Inc. announced a research study was presented at the American Society of Echocardiography (ASE) 2016 conference from a team at the University of Chicago. The study demonstrated that the semi- automated volumes and ejection fraction (EF) generated with Epsilon’s EchoInsight strain imaging are accurate, efficient and may improve standardization among readers when interpreting the left ventricle (LV) with echocardiography.
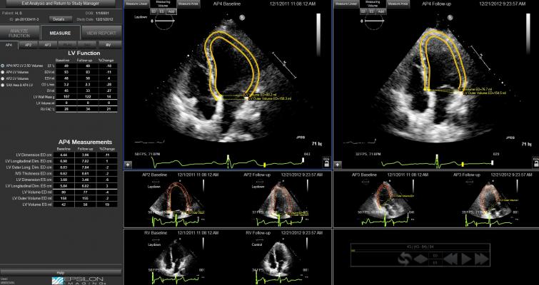
The study, “Semi-Automated Assessment of Left Ventricular Volumes and Global Longitudinal Strain,” was presented by Roberto Lang, M.D., and Diego Medvedofsky, M.D., et al. Transthoracic images from 30 patients with a wide range of LV volumes and EF were analyzed by an expert using conventional methodology to trace LV endocardial borders and obtain volumes, EF and global longitudinal strain (GLS). With the same parameters, the patient studies were then analyzed with EchoInsight, and with its semi- automated techniques for volumes and EF based on manual enrollment of region of interest with speckle tracking strain imaging. Minimal editing was performed as necessary. In addition, three less experienced readers (first-year cardiology fellows) performed the same analyses and their measurements were compared to the experienced reader’s.
Time required for the automated analysis with editing was approximately 1 minute per patient, compared to 2 minutes for conventional manual analysis. Parameters obtained with the semi-automated approach and analysis of expert versus less experienced readers were in excellent agreement.
“Although LV volumes and GLS are clinically important and recommended by the current echocardiographic chamber quantification guidelines, these measurements, especially strain, are not routinely performed. Our study found that the semi-automated technique with EchoInsight is feasible, fast and provides quantitative parameters of LV volumes, EF and GLS, which are comparable to conventional measurements, even when performed by less experienced readers,” said Lang, director of noninvasive cardiac imaging laboratories at University of Chicago Medicine. “EchoInsight and its automated approach to cardiac function measurements with strain imaging has the potential to facilitate the workflow in a busy echo labor and allow routine use of LV volumes and GLS in the every-day practice.”
For more information: www.epsilon-imaging.com
November 03, 2025 