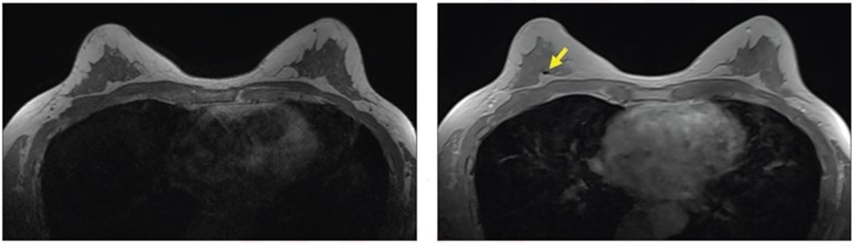
57-year-old patient with breast biopsy clips who underwent breast MRI for high-risk screening. A. Axial T1-weighted non-fat-saturated MR image shows no area of signal void. No reader detected clip using this sequence. B. Axial contrast-enhanced in-phase Dixon image shows signal void in right breast (arrow), which corresponded with MammoMark/CorMark Bread Tie biopsy clip. All three readers detected clip on this sequence, with confidence scores of 4, 3, and 2; assessments all classified as true positives (i.e., detected with confidence score ≥2).
September 16, 2022 — According to ARRS’ American Journal of Roentgenology (AJR), the contrast-enhanced in-phase Dixon sequence could reduce the need for correlation among other imaging modalities to better identify areas of prior biopsy during breast MRI interpretation.
“Compared with clinical sequences, contrast-enhanced in-phase Dixon had higher sensitivity for detecting breast biopsy clips on MRI, as well as higher reader confidence and contrast-to-noise ratio (CNR), without change in positive predictive value (PPV),” wrote corresponding and co-first author, Michael W. Taylor-Cho, MD, MPH, of Duke University Medical Center in Durham, NC.
Dr. Taylor-Cho and team’s retrospective study numbered 164 women (mean age, 50.3 years) with a total of 281 breast biopsy clips who underwent contrast-enhanced breast MRI between January 2, 2019, and April 16, 2020. Blinded to patient identifiers, sequence information, and biopsy clip details, three radiologists independently annotated their findings on three clinical sequences—T1-weighted (T1W) non-fat-suppressed (NFS), STIR, first phase from dynamic contrast-enhanced T1W fat-suppressed (FS) —as well as contrast-enhanced in-phase Dixon. Confidence was then recorded on a scale of 1–4.
Ultimately, compared with T1W NSF, STIR, and T1WFS sequences, the contrast-enhanced in-phase Dixon sequence evidenced the highest sensitivity for breast biopsy clip detection (85.1% vs. 26.6%-78.2%), highest reader confidence (3.5 vs. 1.7–3.0), and highest CNR (4.05 vs 0.54–1.21), without a significant difference in PPV (96.4% vs. 92.2%–96.1%).
Employing this contrast-enhanced in-phase Dixon sequence may “help address a current challenge in routine clinical breast MRI interpretation,” the authors of this AJR article concluded.
For more information: www.arrs.org
Related Breast MRI content:
Contrast-Enhanced In-Phase Dixon Sequence: Impact on Biopsy Clip Detection on Breast MRI
Breast MRI Illuminates Risk of Second Breast Cancer
Contrast-Enhanced Mammography vs. MRI: Neoadjuvant Therapy Response in Breast Cancer
Breast MRI Shows IUDs Have Systemic Effects
VIDEO: Use of Breast MRI Screening in Women With Dense Breasts — Interview with Christiane Kuhl, M.D.
Abbreviated MRI Outperforms 3-D Mammograms at Finding Cancer in Dense Breasts
VIDEO: Explaining Dense Breasts — Interview with Christiane Kuhl, M.D.
VIDEO: Use of Breast MRI Improved Cancer Detection in Dense Breasts in Dutch Study — Interview with Gillian Newstead, M.D.
Technologies to Watch in Breast Imaging
Screening MRI Detects BI-RADS 3 Breast Cancer in High-risk Patients
Rapid Breast MRI Screening Improves Cancer Detection in Dense Breasts
November 20, 2025 