Technology | October 15, 2013
ultrasound systems rsna 2013 contextvision us plusview DSP

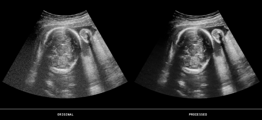
October 15, 2013 — ContextVision released another ultrasound product for the mid-end ultrasound segment; a new version of the image enhancement software US PlusView was designed for the digital signal processor (DSP).
 
ContextVision has optimized its flexible image enhancement software for implementation into the small and cost-effective DSP. Product development has concentrated on achieving as much functionality as possible despite constraints of the DSP.
 
For more information: www.contextvision.com

Related Content

News | Ultrasound Women's Health

Feb. 5, 2026 — BrightHeart, a global provider of AI-driven prenatal ultrasound, has announced the availability of its B ...

Time February 05, 2026
arrow
News | Radiology Education

Jan. 22, 2026—The American Roentgen Ray Society (ARRS) will host a live virtual symposium, "Medical Imaging for ...

Time January 28, 2026
arrow
News | Point-of-Care Ultrasound (POCUS)

Jan. 27, 2026 — Siemens Healthineers and World Athletics have joined forces to inform medical teams how point-of-care ...

Time January 27, 2026
arrow
News | Radiology Imaging

Jan. 26, 2026 — Researchers at the University of Arizona were awarded up to $1.8 million by the Advanced Research ...

Time January 26, 2026
arrow
News | Focused Ultrasound Therapy

Dec. 19, 2025 — Washington University in St. Louis (WashU) has been recognized as a Focused Ultrasound Center of ...

Time December 23, 2025
arrow
News | RSNA 2025

Oct. 31, 2025 — Echolight plans to demonstrate its bone density scanning technology at the Radiological Society of North ...

Time November 03, 2025
arrow
News | Cardiac Imaging

Oct. 24, 2025 —YorLabs, Inc., a medical technology company developing next-generation intracardiac imaging solutions for ...

Time October 27, 2025
arrow
News | Ultrasound Women's Health

Sept. 30, 2025 — Sona, the first free, HIPAA-compliant platform that securely delivers ultrasound images directly to ...

Time October 02, 2025
arrow
News | Women's Health

Sept. 15, 2025 — GE HealthCare has launched the Voluson Performance series, the latest addition to its women’s health ...

Time September 15, 2025
arrow
News | Cardiac Imaging

Aug. 29, 2025 — GE HealthCare has launched Vivid Pioneer, its most advanced, ultra-premium and adaptive cardiovascular ...

Time August 29, 2025
arrow
Subscribe Now