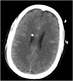
June 13, 2018 – Peter Chang, M.D., current neuroradiology fellow at UCSF and recently recruited co-director of the UCI Center for Artificial Intelligence in Diagnostic Medicine (CAIDM), is the honorary recipient of the Cornelius G. Dyke Memorial Award. The award was given by the American Society of Neuroradiology (ASNR) for Chang’s work in developing a customized deep learning system with over 97 percent accuracy in near real-time detection of hemorrhage on non-contrast computed tomography (NCCT) exam of the head.
The research, which was sponsored by Canon Medical Systems USA Inc., involved algorithm development on over 10,000 NCCT studies and included both detection and quantification of intraparenchymal, epidural/subdural and subarachnoid hemorrhages. Co-investigator Daniel Chow, who will join Chang as co-director at the CAIDM, explained that a tool such as this “may be implemented either as a triage system to assist radiologists in identifying high-priority exams for interpretation and/or as a method for rapid quantification of ICH volume, overall expediting triage of patient care and offering more detailed information to guide clinical decision making.”
“I am deeply honored to receive this prestigious award from the American Society of Neuroradiology,” said Chang. “I appreciate the support of my research team and those involved in helping advance the research of convolutional neural networks for medical image recognition.”
The award, presented at ASNR’s 56th Annual Meeting, June 2-7 in Vancouver, was established to honor Cornelius G. Dyke, one of the pioneers in neuroradiology. It is given to an assistant professor, fellow or resident for excellence as demonstrated in a paper, which represents original, unpublished research in some aspect of neuroradiology. The award entails an honorarium and invitation to present the work at the 56th Annual Meeting in 2018.
For more information: www.us.medical.canon
November 25, 2025 