If you enjoy this content, please share it with a colleague
RELATED CONTENT
November 4, 2020 — Carestream Health’s DRX-Revolution Nano will be in the spotlight as the company showcases its ...
November 4, 2020 — A powerful type of artificial intelligence known as deep learning can help physicians detect ...
November 3, 2020 — The Radiological Society of North America (RSNA) Research & Education (R&E) Foundation awarded the 20 ...
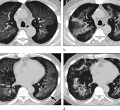
October 20, 2020 — A new multi-institutional study published in the journal Radiology identifies patterns in abnormal ...
October 1, 2020 — The Radiological Society of North America (RSNA) has announced that Muhimbili University of Health and ...
September 11, 2020 — The National Imaging Informatics Course-Radiology (NIIC-RAD) Term 1 will be held online September ...
September 11, 2020 — The Radiological Society of North America (RSNA) has launched its fourth annual artificial ...
August 27, 2020 — Injuries to the lungs from vaping have suggestive patterns on computed tomography (CT) scans that ...
August 13, 2020 — There was a higher incidence and severity of physical intimate partner violence (IPV) among patients ...
August 5, 2020 — The nation’s largest medical imaging associations are working together to develop the new Medical ...
November 04, 2020 