If you enjoy this content, please share it with a colleague
Philips
RELATED CONTENT
Magnetic resonance/positron emission tomography (MR/PET) is the newest imaging modality falling within the category of hybrid imaging. It sits at the crossroads of successful tradition and innovation. It is traditional in that it combines anatomical and functional molecular imaging from two potent imaging modalities; at the same time it is innovative, in that it combines the full potential of anatomic and multiparametric imaging of MRI with the molecular information of PET.
May 16, 2012 — Philips Healthcare has established a five-year agreement with St. Joseph’s Hospital and Medical Center in Phoenix to pursue research to help accelerate the advancement of magnetic resonance imaging (MRI) technology.
Single photon emission computed tomography (SPECT) remains a well-entrenched imaging modality for nuclear myocardial perfusion imaging (MPI) more than 30 years after its introduction. Due to SPECT’s reliability, cost-effectiveness and the wealth of data showing its clinical validation, it remains more common in MPI than its competition, positron emission tomography (PET).
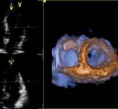
Hardware and software advances are enabling echocardiography to greatly expand its capability with increased quantification accuracy, ease-of-use, increased workflow efficiencies and wider use outside of echo labs. Today, cardiovascular ultrasound systems are being integrated into point-of-care for triage, and in operating rooms and cath labs for procedural guidance to cut the use of contrast and ionizing radiation.
May 9, 2012 — Philips is bringing its newest computed tomography (CT) to St. Francis Hospital in Poughkeepsie, N.Y., home to the area’s only Level II trauma center.
Since it was named “Invention of the Year” by TIME magazine in 2000, positron emission tomography/computed tomography (PET/CT) has been hailed as a winning combination. It captures anatomical information from the CT and functional information from the PET to create a fused image at once, reducing some of the challenges that occur in fusing two images acquired at separate times from separate modalities.
Musculoskeletal impairments are reported by more than one out of every four Americans, and in 2008 an estimated 46 million, or one in five adults, reported arthritis.1 Local injections of therapeutic agents into articular structures can lead to rapid decreases in pain and inflammation without many of the serious side effects associated with systemic medications. However, as with any diagnostic or therapeutic procedure, success depends on the expertise of the clinician and the accuracy with which the medications are injected into the affected joint space. Ultrasound is an emerging imaging modality which affords dynamic, real-time, cost-effective and physician-controlled visualization of anatomic impairments. Recent data has demonstrated that the use of ultrasound imaging improves accuracy rates in joint injections.
Multimodality imaging in medicine can provide a physician with tools for making an accurate diagnosis prior to making treatment recommendations and helps the physician to lessen the potential for restaging, simplifying the image evaluation process and improving patient care in the future. The benefits also can be applied to the improvement of imaging in clinical trials, where precision and standardization is a necessity. For many diseases, including cancer, heart disease and certain brain disorders, the current and typical imaging process requires the acquisition of both positron emission tomography (PET) and computed tomography (CT) scans.
May 1, 2012 - Philips announces the release of EasyDiagnost Eleva DRF 5.0, now available with a wireless portable detector and detector sharing functionality. The device is Philips’ latest advancement in digital radiography (DR) and fluoroscopy, helping to bring more versatility and increased workflow efficiency to busy hospitals.
April 16, 2012 — Philips Healthcare announced it is collaborating with Brainlab AG to create a comprehensive intra-operative magnetic resonance imaging (MRI) solution with the goal of streamlining neurosurgery procedures. Ingenia MR-OR is based on Philips’ digital broadband Ingenia MRI system, 1.5T and 3.0T, and is designed to be combined with Brainlab’s integrated operating room (OR) solutions.
May 29, 2012 