If you enjoy this content, please share it with a colleague
HeartFlow
RELATED CONTENT
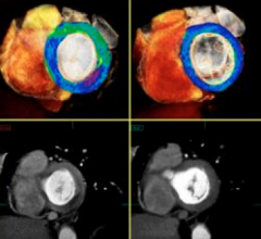
Cardiac computed tomography angiography (CCTA) is known to have excellent anatomical imaging, but has lacked the ability for functional assessments, requiring chest pain patients with intermediate stenosis lesions to be sent to the cath lab or nuclear myocardial perfusion imaging. However, recent advances in CCTA image analysis software and the accumulation of supporting clinical data may soon enable CT perfusion imaging and virtual fractional flow reserve-CT (FFR-CT) to become mainstream in the coming years.
Adding the HeartFlow FFRCT Analysis to a standard coronary computed tomography angiogram (cCTA) may change the course of treatment in more than one-third of patients with coronary artery disease. This conclusion was discussed in a study presented at the EuroPCR 2015 conference.
University Hospitals (UH) Case Medical is now offering a new, non-invasive test for coronary artery disease designed to help physicians develop the right treatment plan for each patient. Developed by HeartFlow Inc., computed tomography-fractional flow reserve (CT-FFR) is a non-invasive imaging technology specifically designed to offer insight on both the extent of the blockage, as well as whether it is impacting blood flow to the heart. UH Case Medical Center’s Daniel Simon, M.D., will be first to use the CT-FFR test in the United States.
The key take away message from the Society of Cardiovascular Computed Tomography (SCCT) annual meeting in July was that CT technology is advancing rapidly and there is a strong feeling it will become the pre-eminent cardiac imaging modality.
Clinical trial results demonstrated that a noninvasive coronary computed tomography angiography (CTA)-based test accurately assesses coronary artery disease (CAD) with results closely matching those of invasively measured fractional flow reserve (FFR), and may inform potential revascularization treatment options, including angioplasty and coronary artery bypass surgery (CABG), better than current methods.
A large number of emergency room visits are for chest pain evaluation, and many hospitals are adopting CT angiography as a primary test to quickly rule-out coronary disease.
Trends and new technology for cardiac computed tomography angiography (CCTA) were highlighted during the 2012 Society of Cardiovascular CT (SCCT) annual scientific meeting in July in Baltimore, Md. Major topics included the development of fractional flow reserve (FFR)-CT imaging, perfusion imaging, imaging for transcatheter aortic valve replacement (TAVR) and analysis software advancements.
June 11, 2015 