ProFound AI is an FDA-cleared artificial intelligence (AI) system for reading 3-D breast tomosynthesis images. At RSNA19 ...
Radiology Imaging
The radiology imaging channel includes technology news related to computed tomography (CT), digital radiography (DR / X-ray), ultrasound, magnetic resonance imaging (MRI), radiographic fluoroscopy (R/F), mammography, angiography, 3-D printing, contrast media injectors, molecular imaging, neurological imaging, pediatric imaging and radiation dose management.
February 5, 2020 — In a special report published in the journal Radiology, researchers describe computed tomography (CT) ...
February 4, 2020 — Since January 2020, the Coronavirus (2019-nCoV) outbreak at Wuhan, China, has attracted a great deal ...
SPONSORED CONTENT — Fujifilm’s latest CT technology brings exceptional image quality to a compact and user- and patient ...
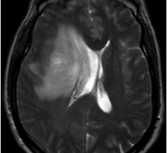
February 4, 2020 — Qynapse, a medical technology company, announced that it received U.S. Food and Drug Administration ...
February 3, 2020 — Melding the genetic and cellular analysis of tumors with how they appear in medical images could give ...
Women in the United States have a 1 in 8 (or about 13 percent) lifetime risk of being diagnosed with breast cancer ...
Agfa Radiology Solutions is committed to enhancing clinical outcomes and operational efficiency, underscoring its ...
The founder of Gonzo journalism thought back nostalgically to what many believed in the 1960s was inevitable. The ...
January 31, 2020 — One of the first imaging studies on the coronavirus (2019-nCoV) was published online today as ...
International Radiology Day (IDoR) was November 9 — an annual celebration that commemorates Wilhelm Conrad Röntgen’s ...
Agfa Radiology Solutions delivers diagnostic imaging solutions that set the standard in productivity, safety, clinical ...
Gadolinium-based contrast agents (GBCAs) are widely used in medical imaging to provide essential diagnostic information ...
Contrast media injector technology has seen several recent advances, such as cutting costs by reducing contrast waste ...
January 30, 2020 — According to an article published ahead-of-print in the April issue of the American Journal of ...
In June, the Philips Radiology Experience Tour hit the road to provide healthcare professionals with an opportunity to ...
January 30, 2020 — Fujifilm Corporation announced its plan to launch a Systems Integration (SI) business, operating ...
January 29, 2020 – The presence of a blood clot on the wall of the aorta in people with abdominal aortic aneurysms (AAA) ...
January 29, 2020 — Bariatric surgery and weight loss appear to reverse some of the negative effects of obesity on the ...
January 29, 2020 — EOS Imaging announced the first installation of its new EOSedge system in North America at CHU Sainte ...
January 29, 2020 — Life Image announced that it will provide Mammosphere, a breast health data access tool, to the ...
January 28, 2020 — Definitive Healthcare, a provider of data, intelligence and analytics on healthcare organizations and ...
January 28, 2020 — Pulmonary imaging is important in the diagnosis of the acute lung injury associated with vaping ...
January 27, 2020 — Researchers have identified several potentially useful breast cancer biomarkers that indicate the ...
February 06, 2020 