Over the last 10 years, hospitals have phased out analog image intensifiers for flat-panel, digital detector angiography ...
CT Angiography (CTA)
This channel includes news and new technology innovations for CT systems using a series of X-ray images to create an image volume data set that can be sliced or manipulated on any plane using advanced visualization software. The section includes computed tomography scanners, CT contrast agents, CT angiography (CTA and CCTA), CT perfusion, spectral CT (dual souce CT), and interative reconstruction dose reduction software.
We are at an inflection point with many aspects of medicine, not the least of which concerns choosing the correct tool ...
November 3, 2011 — Infinitt North America announced that their Xelis Cardiac product has received clearance from the U.S ...
In emergency and trauma medicine, the “golden hour” refers to the time during which medical/surgical intervention has ...
September 27, 2011 — A study in the Sept. 27 issue of the Journal of the American College of Cardiology suggests that ...
August 17, 2011 — The Society of Cardiovascular Computed Tomography (SCCT) announced the election of James K. Min, M.D ...
August 11, 2011 – GE Healthcare announced U.S. Food and Drug Administration (FDA) clearance of Optima CT660 – a compact ...
CTA is one of the most complex procedures routinely performed on a CT scanner. A successful CTA exam requires ...
With a growing problem of overcrowded emergency departments, coronary computed tomography angiography (CCTA) may be a ...
Computed tomography angiography (CTA) is one of the most complex procedures routinely performed on a CT scanner. A ...
July 12, 2011 – The Society of Cardiovascular Computed Tomography (SCCT) has published the SCCT Guidelines on Radiation ...
While CT angiography (CTA) is a complex procedure, Philips Ingenuity CT has advanced features to simplify CTA planning ...
April 19, 2011 – Andrew Einstein delivered the Douglas P. Zipes Distinguished Young Scientist Award Lecture entitled ...
A U.S.-Egyptian research team has uncovered the earliest documented case of coronary atherosclerosis in a princess who ...
Computed tomography (CT) technology has developed tremendously in the past 30 years. Significant improvements in spatial ...
February 21, 2011 – A cardiac computed tomography (CT) report engine was approved by the U.S. Food and Drug ...
Computed tomography (CT) offers a very important, noninvasive diagnostic tool, but the price of high image quality ...
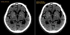
January 5, 2011 — The U.S. Food and Drug Administration (FDA) has given clearance for Medic Vision Ltd. to market its ...
November 24, 2010 - Rotational computed tomography angiography (CTA), a new noninvasive imaging modality, has the ...
November 18, 2010 – The Society of Cardiovascular Computed Tomography (SCCT) has collaborated with the American College ...
November 23, 2011 