A 26-year-old man with history of diabetes and hypertension presented with 7 days of fever, chills, nausea, intractable vomiting, diarrhea and generalized weakness, but no specific upper or lower respiratory symptoms aside from mild shortness of breath.
A 26-year-old man with history of diabetes and hypertension presented with 7 days of fever, chills, nausea, intractable vomiting, diarrhea and generalized weakness, but no specific upper or lower respiratory symptoms aside from mild shortness of breath. The patient was diaphoretic and retching on arrival. Physical examination showed diffuse abdominal tenderness, mild tachypnea and tachycardia.
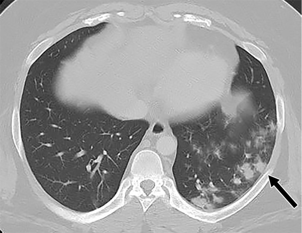
Imaging Findings
A computed tomography (CT) scan of the abdomen and pelvis revealed imaging findings in the lung bases of peripheral nodular airspace and ground-glass opacities. Abdominal imaging findings showed hepatosplenomegaly and severe hepatic steatosis; no abnormalities in the gastrointestinal tract, mesentery or vasculature; and no lymphadenopathy or ascites.
Diagnosis: Coronavirus Disease (COVID-19)
Subsequent CT chest and SARS-CoV-2 PCR testing confirmed the diagnosis of COVID-19. The patient was admitted to the hospital with a primary diagnosis of diabetic ketoacidosis, the likely cause of his abdominal pain, secondary to SARS-CoV-2 infection. The patient was discharged home 9 days later.
Further Reading
Information for this case study was provided by the American Roentgen Ray Society (ARRS). Learn more by reading the open-access AJR article “Lung Base Findings of Coronavirus Disease (COVID-19) on Abdominal CT in Patients With Predominant Gastrointestinal Symptoms,” as well as “Unexpected Findings of Coronavirus Disease (COVID-19) at the Lung Bases on Abdominopelvic CT.”
Call for Entries
Do you have a clinical case you’d like to share with ITN's audience? If so, please send high-resolution images and a brief written case study to [email protected]
February 04, 2026 