May 22, 2023 — Incorrect advice by an AI-based decision support system could seriously impair the performance of ...
May 22, 2023 — New research finds that the brains of otherwise healthy military personnel who are exposed to explosions ...
May 19, 2023 — The Radiology Leadership Institute (RLI) named Norman J. Beauchamp Jr., MD, MHS, FACR, Arl Van Moore Jr ...
Radiology departments have many different needs and face a wide variety of challenges that can impact their departments ...
May 19, 2023 — Asymptomatic adults with a high accumulation of fat in their muscles, known as myosteatosis, are at an ...
May 19, 2023 — The latest version of ChatGPT passed a radiology board-style exam, highlighting the potential of large ...
May 18, 2023 — Royal Philips, a global leader in health technology, announced the launch of the Philips CT 3500, a new ...
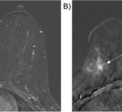
Despite decades of progress in breast imaging, one challenge continues to test even the most skilled radiologists ...
May 18, 2023 — Carestream Health’s new, versatile DRX-LC Detector is designed to improve patient comfort, image quality ...
May 18, 2023 — Cassling announced it is a new strategic sales agent in various geographic territories across the United ...
May 18, 2023 — Paige, a global provider of end-to-end digital pathology solutions and clinical Artificial Intelligence ...
Bayer Radiology’s Barbara Ruhland and Thom Kinst discuss how radiology departments can address the many different ...
May 17, 2023 — Online workflow systems for off-site radiologists are one reason for health care delays that cost ...
May 17, 2023 — According to an accepted manuscript published in ARRS’ own American Journal of Roentgenology (AJR), SARS ...
May 17, 2023 — After nearly a year of official review and verification, Director of Global Sales Mike Cairnie of MinXray ...
eHealth Saskatchewan plays a vital role in providing IT services to patients, health care providers, and partners such ...
HIMMS is working to bring empirical knowledge and evidence of value and impact of digital maturity measured by the HIMSS ...
May 16, 2023 — The American Society for Radiation Oncology (ASTRO) today expressed its strong support for President ...
May 16, 2023 — Bracco Imaging, an innovative world leader delivering end-to-end products and solutions through a ...
May 16, 2023 — DenseBreast-info.org has issued a statement which states that the USPSTF Guideline should not apply to ...
May 15, 2023 — Guerbet, a global leader in medical imaging with more than 30 years of experience in MRI, announced that ...
May 15, 2023 — GE HealthCare is presenting three new global innovations – Intelligent Radiation Therapy (iRT), Auto ...
May 15, 2023 — RSNA updated its Statement on Screening for Breast Cancer, recognizing new recommendations from the ...
May 12, 2023 — Abbott announced today that the U.S. Food and Drug Administration (FDA) has approved expanded MRI ...
May 22, 2023 