July 19, 2023 — The Radiological Society of North America (RSNA) Research and Education (R&E) Foundation Board of ...
July 19, 2023 — The American College of Radiology (ACR) released the following statement to correct misinterpreted cuts ...
July 18, 2023 — NorthStar Medical Radioisotopes, LLC, a global innovator in the development, production and ...
Radiology departments have many different needs and face a wide variety of challenges that can impact their departments ...
July 18, 2023 — The U.S. Food and Drug Administration (FDA) is warning consumers not to use ultrasound medical devices ...
July 18, 2023 — Magnetic resonance imaging (MRI) machines can clearly view non-bony parts of the body — soft tissue such ...
The American Association of Physicists in Medicine’s (AAPM) 65th annual meeting and exhibition will take place July 23 ...
Despite decades of progress in breast imaging, one challenge continues to test even the most skilled radiologists ...
July 14, 2023 — The American Society for Radiation Oncology (ASTRO) issued the following statement from Geraldine M ...
July 14, 2023 — The Centers for Medicare & Medicaid Services (CMS) issued the calendar year (CY) 2024 Medicare Physician ...
July 14, 2023 — RaySearch Laboratories AB (publ) announces the release of the latest version of RayCare*, the next ...
Bayer Radiology’s Barbara Ruhland and Thom Kinst discuss how radiology departments can address the many different ...
Be sure to check out the latest digital edition of Imaging Technology News (ITN), featuring the Mobile C-Arms comparison ...
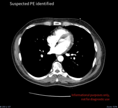
July 13, 2023 — New computed tomography (CT) technology allows for a comprehensive, simultaneous evaluation of lung ...
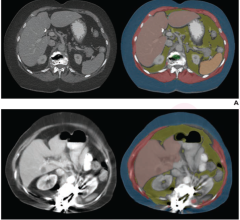
July 13, 2023 — According to an accepted manuscript published in the American Journal of Roentgenology (AJR), a synoptic ...
eHealth Saskatchewan plays a vital role in providing IT services to patients, health care providers, and partners such ...
July 13, 2023 — Konica Minolta Healthcare Americas, Inc., announced the introduction of PocketPro H2, a new wireless ...
I recently attended the 2023 AIMed Global Summit, which focused on artificial intelligence (AI) in healthcare, in San ...
There are many ways to serve to make a meaningful impact in the lives of others. This applies to my work in the ...
Healthcare is constantly evolving, finding new ways to innovate and advance digital tools and technology. With this ...
Whether it’s a hospital, stand-alone imaging center or outpatient care facility, it’s almost certain they’re feeling the ...
As the radiology community continues to learn and leverage the latest advancements in the use of artificial intelligence ...
July 12, 2023 — United Imaging, a global leader in manufacturing advanced medical imaging and radiotherapy equipment and ...
July 12, 2023 — Eyas Medical Imaging announced the first installation of the groundbreaking neonatal Magnetic Resonance ...
July 19, 2023 