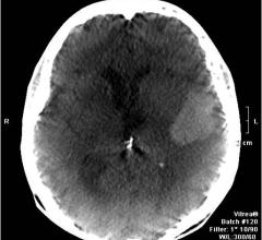
When every second counts in clinical situations such as those encountered in the emergency room and trauma centers, fast high-resolution CT scanning at low radiation dose helps radiologists render quick, confident diagnoses while keeping in mind the patient's needs. Delivering speed and performance, Philips iDose4 generates results in seconds rather than minutes, with a majority of reference protocols reconstructed in 60 seconds or less. Moreover, the Metal Artifact Reduction for large Orthopedic Implants (O-MAR) reconstruction technology reduces artifacts from metal objects, thus reducing the potential loss of critical anatomical information.Philips has taken CT scanning to a whole new level by developing medical imaging technologies that combine fast reconstruction, high image quality and low radiation dose. This advancement was brought about by Philips collaborating with Intel to enhance its imaging software to take advantage of state-of-the-art, massively-parallel computing platforms based on Intel Xeon processors.This paper details the high performance derived from Philips reconstruction technologies: Philips iDose4 and O-MAR. Some of the software optimization techniques used by Philips engineers are also described. As a next step in transforming care, Philips has launched the next innovation, called IMR. IMR is a model-based iterative reconstruction, which will run on even more powerful Intel processors and pave the way for further advances in CT imaging.
Siemens Healthcare has introduced a new version of its cardiovascular imaging and information system. From routine to advanced readings, the new version of syngo Dynamics helps streamline workflows and optimize clinical utilization.
Zonare Medical Systems is showing its recently introduced ZS3 ultrasound system at the annual American Institute of Ultrasound in Medicine (AIUM) meeting April 7-9, 2013 in New York.
Radiology departments have many different needs and face a wide variety of challenges that can impact their departments ...
Two novel radiolabeled small molecules targeting prostate-specific membrane antigen (PSMA) have excellent potential for further development as diagnostic and therapeutic radiopharmaceuticals, according to research published in The Journal of Nuclear Medicine. The imaging agents —123I-MIP-1072 and 123I-MIP-1095 — were shown to have a high sensitivity of lesion detection in bone, soft tissue and the prostate gland with minimal retention in non-target tissue.
HS Scotland has further strengthened its strategic partnership with Carestream Health by signing an amendment to the long-standing contract between the two organizations.
Fovia Medical Inc. and Contrast Imaging have collaborated to make natively integrated high definition volume rendering (HDVR) available throughout Contrast Imaging’s entire digital offering. With Fovia’s flexible and scalable advanced visualization HDVR software, Contrast Imaging can further streamline its fast, stable and integrated workflows at imaging centers throughout Australia.
Despite decades of progress in breast imaging, one challenge continues to test even the most skilled radiologists ...
Sentara Healthcare operates more than 100 sites of care serving the residents of Virginia and northeastern North Carolina. Founded in 1888, the organization is growing and is recognized as one of the top integrated health care systems in the nation. Sentara Healthcare currently consists of: 10 hospitals Advanced imaging centers Three medical groups Nursing and assisted-living centers 3,680 provider medical staff Optima Health – Sentara-owned health plan serving 450,000 members Sentara’s quest for superior patient care, continuous innovation and expansion required the organization to consider a vendor neutral archive (VNA) solution to increase interoperability and connectivity for their current and future enterprise medical imaging initiatives. To launch the VNA effort, Sentara engaged Ascendian Healthcare Consulting as a partner to establish the foundations required for a successful business strategy and the supporting analysis, education, phased design and deployment. An enterprise VNA will enhance Sentara’s capabilities across clinical image data flow, work flow and integration with their EHR solution. The effort required: Identifying the technical and functional requirements of an Enterprise Imaging Platform, including an enterprise viewer Developing and delivering education to technical, clinical and executive leadership Conducting a robust vendor selection process Designing a design, build, migration and implementation strategy that includes image-enabling their EHR (EPIC)
Fujifilm Medical Systems USA Inc., announced a new computed radiography (CR) reader, the FCR Prima-T2. The new model offers enhanced processing speeds of up to 73 IPs/hour while leaving the easy to use capabilities and high functionality intact. The product is one of the most compact and lightweight on the market and can be installed just about anywhere, providing an ideal solution for low- to mid-volume imaging needs.
In vivo ventilation/perfusion (V/Q) imaging can detect early changes to the lung caused by cigarette smoke exposure and provides a noninvasive method for studying lung dysfunction in preclinical models, according to research published in the April issue of The Journal of Nuclear Medicine. These measures have the potential to be applied clinically to study and diagnose the early stages of chronic obstructive pulmonary disease (COPD).
Bayer Radiology’s Barbara Ruhland and Thom Kinst discuss how radiology departments can address the many different ...
Barco announces the launch of its new Eonis clinical display family. Designed with clinical specialists in mind, the Eonis displays combine an innovative, built-in front sensor with Barco’s MediCal QAWeb cloud-based tool to ensure superior, controlled image quality. The Eonis 22-inch model is available in a black and a white version, with the latter offering a fully cleanable front glass panel to prevent infection – a first in the market.
Viztek is one of the first picture archive and communications service (PACS) vendors to provide viewing capabilities for digital breast tomosynthesis (DBT) imaging. With the addition of this capability to Viztek’s Opal-Mammo software suite, hospitals and imaging centers now have a choice of the viewing software they select for use with their DBT system. Further, because the mammography suite offers integrated tracking software, facilities additionally benefit from the use of one workstation and an automated workflow for a faster, streamlined approach for mandatory MQSA reporting.
Forty-three of 44 providers interviewed by KLAS Research said they would buy tomosynthesis (3-D mammography) again despite the additional time it takes and the unpredictable reimbursement. This and other findings are available in the new KLAS report “Breast Tomosynthesis 2013: The Business Case.”
eHealth Saskatchewan plays a vital role in providing IT services to patients, health care providers, and partners such ...
The Warrenville, Ill.-based CDH Proton Center, A ProCure Center, announced the installation of pencil beam scanning, which delivers a more precise dose of proton therapy to further minimize exposure of healthy tissue to radiation and allow radiation oncologists to better treat more complex tumors.
Representatives Dave Reichert (R-WA), Jim Matheson (D-UT), Pete Olson (R-TX) and Bill Pascrell (D-NJ) have introduced the Medicare Access to Radiology Care Act of 2013 (H.R. 1148).This bill would amend the Social Security Act to recognize radiologist assistants (RAs) as non-physician providers of healthcare services to Medicare beneficiaries, and it would authorize physician reimbursement through the Centers for Medicare & Medicaid Services (CMS) for procedures performed by RAs in states that have laws establishing radiologist assistant practice guidelines.
With RayStation 3.5, RaySearch releases tools for treatment planning of radiation therapy with electrons and protons, complementing RayStation’s tools for planning and optimization of radiation therapy with photons. Proton Beam Design is a brand new module in RayStation that contains tools for treatment planning of double scattered and uniformly scanned protons, such as a clinically approved Pencil Beam dose engine and automatic generation of treat-and-protect beams.
Royal Philips Electronics is introducing three new imaging systems to help radiology departments increase both the number of patients and range of clinical exams they can handle. Showcased at the 2013 European Congress of Radiology (ECR 2013), all three systems combine the capabilities for high patient throughput with the functionality and advanced clinical imaging applications.
Invivo and iCAD Inc. announced the companies have entered into a global research, development and commercial agreement. Under the agreement, iCAD will develop advanced magnetic resonance imaging (MRI) analysis software products, which Invivo will incorporate into its suite of MRI product solutions for global commercial sale.
Lantheus Medical Imaging Inc. announced a new supply contract with the Institute for Radioelements (IRE) to receive a supply of molybdenum-99 (Mo-99), the parent isotope of technetium-99m (Tc-99m), for use in its TechneLite (Technetium Tc 99m Generator) generators.
Two new 1.5T MRI scanners from GE Healthcare, the Optima MR360 Advance and Brivo MR355 Inspire, have recently received 510(k) clearance. Redesigned with new enclosures symbolizing GE’s Humanizing MRI strategy, both systems are engineered to address the demand for increased performance and reduced total cost of ownership for the facility, while providing a comfortable experience for the patient.
Navidea Biopharmaceuticals Inc. announced U.S. Food and Drug Administration (FDA) approval of Lymphoseek (technetium Tc 99m tilmanocept) Injection, a novel product indicated for use in lymphatic mapping procedures to assist in the localization of lymph nodes draining a primary tumor in patients with breast cancer or melanoma. Lymphoseek is a receptor targeted radiopharmaceutical designed to identify these lymph nodes, which have the highest probability of harboring cancer and thereby assist physicians in the staging of such patients.
April 05, 2013 