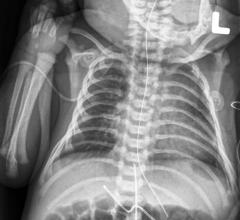
Agfa HealthCare announced the launch of Musica for Neonatal, built on its next generation Musica image processing software. Offering dedicated functions for neonatal imaging, the next generation Musica for Neonatal can play an important role in caregivers' efforts to control and reduce imaging radiation dose in these highly sensitive patients, while offering very high image quality and consistency.
Members of the North Dakota Society of Radiologic Technologists met with lawmakers in Bismarck on Feb. 6 to ask them to support Senate bill 2236, a measure that sets licensing standards and expands the responsibilities of the state’s radiographers, radiation therapists, radiologist assistants, nuclear medicine technologists and sonographers.
Shimadzu Medical Systems announced the first United States installation of its Trinias C-12 crossover system at First Coast Heart & Vascular Center in Jacksonville, Fla. This first North American installation of the Trinias angiographic system was completed by Shimadzu dealer/partner CMS Imaging of North Charleston, SC and began operation at the medical center in late January.
Radiology departments have many different needs and face a wide variety of challenges that can impact their departments ...
XRware is launching an advanced new image processing software called XRware Virtual Grid. The included technologies improve image quality for exams that are taken without a grid.
For the first time, researchers have reversed some of the symptoms of Alzheimer’s disease in mice using magnetic resonance (MR) imaging-guided focused ultrasound.
Researchers at the University of Oklahoma have developed an image-analysis technique that is designed to improve breast cancer detection and diagnosis.
Despite decades of progress in breast imaging, one challenge continues to test even the most skilled radiologists ...
Zotec Partners announced it has developed a new practice production module for radiologists and radiology practices.
It’s been no secret that the American healthcare system needed to change to survive economically into the future, but the question has been how this massive undertaking could be accomplished. The Affordable Care Act (ACA) was born out of concern over annual healthcare expenditures growing at unsustainable rates, projections that Medicare would no longer be able to pay its bills in the coming years and data showing that other countries offer higher levels of care at lower costs per patient.
What should doctors wear? And how does something as simple as their choice of a suit, scrubs or slacks influence how patients view them?
Bayer Radiology’s Barbara Ruhland and Thom Kinst discuss how radiology departments can address the many different ...
In patients who don't resume normal urination after surgery, a simple ultrasound test can accurately diagnose the common problem of postoperative urinary retention (POUR), reports a study in Anesthesia & Analgesia.
Merge Healthcare Incorporated announced a strategic collaboration with Emdeon, a provider of revenue and payment cycle management and clinical information exchange solutions.
Using advanced imaging technology to more precisely target radiation beams to treat soft tissue cancers (sarcomas) in the extremities significantly reduces long term side effects without effecting survival rates, according to research results published online in the Journal of Clinical Oncology.
eHealth Saskatchewan plays a vital role in providing IT services to patients, health care providers, and partners such ...
Meridian Medical Systems announced it has received U.S. Food and Drug Administration (FDA) clearance to market its Meridian Monarch ultra high definition (UHD) Universal Digital Imager (UDI) with wireless detector and automatic exposure detection (AED). The approval process included the Monarch UDI 2 and the Monarch UDI 2 with wireless/AED. The digital system has been cleared to be used for both pediatric and adult radiographic imaging.
Breast cancer patients who undergo a mastectomy should receive subsequent radiation treatment if their cancer has spread to four or more nearby lymph nodes. However, according to a new study, only 65 percent of these women are getting the recommended postmastectomy radiation therapy (PMRT).
A set of guidelines developed to help standardized lung cancer screening would have generated considerably fewer false-positives than the National Lung Screening Trial produced, according to a new retrospective study.
Sanovas Inc. announced that one of its clinical advisers is warning that the United States healthcare system faces a shortage of therapeutic resources as Medicare coverage of lung cancer screening for at-risk beneficiaries goes into effect. Lung cancer is the leading cause of cancer death and the second-leading cause of all deaths in the United States.
A pioneering clinical trial is testing whether focusing high-frequency sound waves onto the surface of bone where cancer has spread can burn away the source of pain.
In a surprising finding, a collaborative national clinical trials group (RTOG) including Dartmouth-Hitchcock's Alan Hartford, M.D., Ph.D., discovered that radiation therapy in addition to chemotherapy was even more effective at preventing recurrence of ductal carcinoma in situ (DCIS) than previously thought.
Prostate cancer patients with detectable prostate specific antigen (PSA) following radical prostatectomy should receive earlier, more aggressive radiation therapy treatment, according to a study published in the February 1, 2015 issue of the International Journal of Radiation Oncology • Biology • Physics (Red Journal), the official scientific journal of the American Society for Radiation Oncology (ASTRO).
The American Society for Radiation Oncology (ASTRO) commends the February 5, 2015, decision by the Centers for Medicare and Medicaid Services (CMS) to provide coverage for annual lung cancer screening via low-dose CT screening for those at highest-risk for lung cancer.
February 17, 2015 