February 19, 2016 — A new way to analyze magnetic resonance images (MRI) data appears to reliably distinguish between ...
Medical image exchange provider lifeIMAGE announced it has joined CommonWell Health Alliance, an industry consortium of health information technology-focused companies.
February 19, 2016 — The benefits associated with 3-D mammography, also known as digital breast tomosynthesis (DBT), can ...
AT A GLANCE Organization: Expert Radiology Management Services, LLC Specialty: Subspecialty teleradiology — neuro and ...
Resetting the life of your scanner with Signa Explorer Lift is simpler than you may think. Watch what happens when a magnet undergoes the Explorer Lift process.
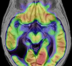
Learn more about GenIQ, a new post-processing application for assessing the vascular properties of brain, liver, prostate and breast tumors for initial as well as follow-up examinations.
See the benefits that can be realized when you reset the lift of your scanner with Signa Explorer Lift.
Radiology departments have many different needs and face a wide variety of challenges that can impact their departments ...
ThedaCare, the largest healthcare system in Northeast Wisconsin, is investing $3 million in Smart Choice MRI, the first magnetic resonance imaging provider in the country to offer every MRI for an all-inclusive fee of $600 or less.
Konica Minolta Medical Imaging will launch the new AeroDR LT in Mexico at the Annual Course of Radiology and Imaging, Feb. 17-20 in Mexico City.
Navidea Biopharmaceuticals Inc. last week announced that the first patient has been enrolled in a clinical study evaluating Lymphoseek (technetium Tc 99m tilmanocept) injection in women with known cervical cancer.
Despite decades of progress in breast imaging, one challenge continues to test even the most skilled radiologists ...
Manhattan Scientifics Inc. announced its wholly-owned subsidiary Senior Scientific LLC, which is developing a platform for the early detection of cancer and other human diseases, has established a research collaboration with Weill Cornell Medicine.
The American Society for Radiation Oncology (ASTRO) commended the proposed investment in cancer-related research announced in the Fiscal Year 2017 Budget released last week by the White House. ASTRO, whose members include nearly all practicing radiation oncologists in the United States, further encouraged policymakers to increase levels of sustained financial support for research on cancer treatment, detection and prevention as the Cancer Moonshot Initiative matures.
Visage Imaging Inc. announced the American College of Radiology (ACR) and the University of Florida (UF) have selected the Visage 7 Enterprise Imaging Platform as the new enterprise diagnostic viewer of the Emergent/Critical Care Imaging SIMulation (SIM).
Bayer Radiology’s Barbara Ruhland and Thom Kinst discuss how radiology departments can address the many different ...
RaySearch Laboratories AB announced that version 5 of the RayStation treatment planning system has been released for clinical use in the United Kingdom, Australia and New Zealand. The latest version of the platform is scheduled for release in most major markets during the first half of 2016.
Laerdal Medical, provider of simulation solutions for healthcare, and SonoSim Inc., provider of ultrasound education and training, announced the commercial release of the Laerdal-SonoSim Ultrasound Solution for SimMan3G and SimMom.
The Centers for Medicare & Medicaid Services (CMS) and America’s Health Insurance Plans (AHIP), as part of a broad Core Quality Measures Collaborative of healthcare system participants, released seven sets of clinical quality measures. These measures support multi-payer alignment, for the first time, on core measures primarily for physician quality programs. This work is informing CMS’s implementation of the Medicare Access and CHIP Reauthorization Act of 2015 (MACRA) through its measure development plan and required rulemaking.
Radiologists use visual pattern matching in much the same way referring physicians visually assess their patients. The way radiologists and referring physicians work — and especially how they interact — is radically changing, however, with digitalization of the medical record, the ubiquity of smartphones and the availability of digital photography.
Carestream will spotlight its ability to deliver rapid, easy access to medical imaging studies from electronic health record (EHR) systems at the annual Healthcare Information and Management Systems Society (HIMSS) conference, Feb. 29-March 6 in Las Vegas.
A superconducting synchrocyclotron proton accelerator was delivered Valentine’s Day weekend to MedStar Georgetown University Hospital. The accelerator, which will become the core of the hospital’s Mevion S250 proton therapy system, was developed and manufactured in the United States and is one of only eight in existence.
February 16, 2016 — Clear Guide Medical has received 510(k) clearance from the U.S. Food and Drug Administration (FDA) ...
February 16, 2016 — Guerbet announced that it has received 510K clearance from the U.S. Food and Drug Administration ...
February 19, 2016 