Advances in the growing radiation dose management market are continually helping those who administer treatment to focus ...
May 2, 2024 — A new study from Mass General Brigham has found that large foundation models that incorporate a richer ...
May 2, 2024 — GE HealthCare has announced a new radiation therapy computed tomography (CT) solution with innovative ...
AT A GLANCE Organization: Expert Radiology Management Services, LLC Specialty: Subspecialty teleradiology — neuro and ...
May 2, 2024 — Radformation, Inc., a leader in automation solutions for cancer care, announced today that it has acquired ...
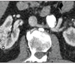
May 2, 2024 — Head and abdominal trauma is a leading cause of death for children. About 1%–2% of children who come to ...
May 2, 2024 — GT Medical Technologies, Inc. (GT MedTech), a medical device company with the mission of improving the ...
Radiology departments have many different needs and face a wide variety of challenges that can impact their departments ...
Beginning this spring, ITN will begin sending out a bi-monthly survey to our readers on a variety of topics, which we ...
As we witness a mounting backlash against prior authorization in healthcare, we must explore more effective alternatives ...
May 1, 2024 — Hologic, Inc., a global leader in women’s health, today announced that it signed a definitive agreement to ...
Despite decades of progress in breast imaging, one challenge continues to test even the most skilled radiologists ...
May 1, 2024 — Sun Nuclear, a Mirion Medical company, today announced the upcoming version 5.0 release of its SunCHECK ...
May 1, 2024 — The American College of Radiology (ACR) has issued a statement on the newly released Final USPSTF Breast ...
May 1, 2024 — After the issuance of updated breast screening recommendations by the U.S. Preventive Services Task Force ...
Bayer Radiology’s Barbara Ruhland and Thom Kinst discuss how radiology departments can address the many different ...
The Healthcare Information and Management Systems Society (HIMSS) Global Health Conference and Exhibition brought ...
April 30, 2024 — The U.S. Preventive Services Task Force (Task Force) today published a final recommendation statement ...
April 30, 2024 — International medical imaging IT and Cybersecurity company Sectra’s digital pathology solution together ...
April 30, 2024 — Use of publicly available large language models (LLMs) resulted in changes in breast imaging reports ...
April 30, 2024 — Best Nomos, a TeamBest Global Company, is launching its most modern, highly innovative Compact SONALIS ...
The rapid growth of healthcare data has reached unprecedented heights, making up about 30% of the world’s stored data.¹ ...
April 29, 2024 — Koneksa, a healthcare technology company pioneering evidence-based digital biomarkers, announced today ...
April 29, 2024 — The Radiology Leadership Institute (RLI) announced the Impact in Leadership Award and Emerging Leader ...
May 03, 2024 