January 9, 2018 – The most common type of tumor found in the kidney is generally quite small (less than 1.5 in). These ...
Konica Minolta President of Healthcare IT Steve Deaton details new features in the Exa Platform designed to improve ...
Women prefer to get their mammograms every year, instead of every two years, according to a new study presented at the annual meeting of the Radiological Society of North America (RSNA), Nov. 26-Dec. 1 in Chicago.
AT A GLANCE Organization: Expert Radiology Management Services, LLC Specialty: Subspecialty teleradiology — neuro and ...
School-age football players with a history of concussion and high impact exposure undergo brain changes after one season of play, according to two new studies conducted at UT Southwestern Medical Center in Dallas and Wake Forest Baptist Medical Center in Winston-Salem and presented at the 2017 annual meeting of the Radiological Society of North America (RSNA), Nov. 26-Dec. 1 in Chicago.
Radiologic signs of injury could help identify victims of intimate partner violence, according to a study presented at the annual meeting of the Radiological Society of North America (RSNA), Nov. 26-Dec. 1 in Chicago.
January 8, 2018 — EchoPixel showcased the latest version of True 3D, its interactive, mixed reality software solution at ...
Radiology departments have many different needs and face a wide variety of challenges that can impact their departments ...
Guerbet announced that it has entered into an agreement under which it will acquire Israeli company Accurate Medical Therapeutics , which specializes in the development of microcatheters used in interventional radiology.
The U.S. Food and Drug Administration (FDA) issued an approval letter for the Planmed Clarity 2-D full-field digital mammography (FFDM) system on Dec. 28, 2017, the company announced. The Planmed Clarity 2-D system is a digital mammography system that provides high image quality, optimal ergonomics and excellent usability for breast cancer screenings, according to the company. In addition to screening mammograms, the system supports diagnostic work-up examinations and biopsy procedures.
Here is the list of the most popular articles and videos on the Imaging Technology News (ITN) magazine website from the ...
Despite decades of progress in breast imaging, one challenge continues to test even the most skilled radiologists ...
Canon Inc. and Canon Medical Systems Corp. announced the official corporate name (trade name) change of Canon Group Company Toshiba Medical Systems Corp. to Canon Medical Systems Corp. (hereafter referred to as Canon Medical Systems).
Women with higher body mass index (BMI) face an increased risk of not detecting their breast tumor until it has become large, according to a study presented at the 2017 annual meeting of the Radiological Society of North America (RSNA) in Chicago in November. Researchers said the findings suggest that women with higher BMI may need shorter intervals between mammography screening exams.
Mevion Medical Systems has received U.S. Food and Drug Administration (FDA) 510(k) clearance for the Mevion S250i Proton Therapy System including Hyperscan pencil beam scanning (PBS) technology. Hyperscan PBS introduces novel energy layer switching and automated collimation systems. These advantages enable the S250i system to deliver faster, sharper and more robust PBS proton radiation treatments.
Bayer Radiology’s Barbara Ruhland and Thom Kinst discuss how radiology departments can address the many different ...
Although targeted therapies have produced dramatic advances in the ability to control some types of advanced lung cancer, growth of the disease in the brain remains a major problem. Radiation is often used to treat deposits in the brain, but the best technique to deliver radiation can be controversial. Whole-brain radiation therapy, as its name suggest, treats the entire brain but can be associated with notable cognitive side effects. Another strategy, radiosurgery, directs highly-focused radiation only to the sites of metastasis, largely sparing the normal brain.
January 3, 2018 — medQ Inc. recently announced the launch of its Q/ris MIPS Reporting module. This module is designed to ...
The U.S. Food and Drug Administration (FDA) issued the final version of the guidance, “Technical Considerations for Additive Manufactured Medical Devices." Additive manufacturing (AM), the broad category of manufacturing encompassing 3-dimensional (3-D) printing, is an emerging technology. This guidance is not intended to introduce new policy, but rather outlines the Agency’s current thinking about the technical aspects associated with AM processes, and provides manufacturers with recommendations for device design, manufacturing and testing considerations for use when developing devices that include at least one additively manufactured component or additively fabricated step.
Chagas disease (ChD), an infectious parasitic disease transmitted primarily by triatomine insects, has become a significant public health problem in recent decades. While many ChD patients suffer only minor symptoms, 20-30 percent develop chronic heart disease (ChHD); the variety of possible abnormalities caused by ChHD requires understanding of how different imaging modalities can assist in diagnosis and treatment decisions. A new document, Recommendations for Multimodality Cardiac Imaging in Patients with Chagas Disease: A Report from the American Society of Echocardiography in Collaboration With the InterAmerican Association of Echocardiography (ECOSIAC) and the Cardiovascular Imaging Department of the Brazilian Society of Cardiology (DIC-SBC), aims to provide the first comprehensive guidance for how best to use the multiple cardiac diagnostic tools to assess and monitor the growing number of patients with these Chagas-induced heart problems.
Philips and Arizona-based Banner Health recently announced they have extended their multi-year partnership to include adoption of Philips' PerformanceBridge Practice, helping Banner to accelerate its clinical transformation in radiology and further deliver on its goal of improving care for patients. PerformanceBridge Practice is a part of the Philips PerformanceBridge portfolio, a suite of operational performance improvement software and services that assist radiology departments in enhancing productivity, improving the patient and staff experience, while delivering better value-based care. Philips and Banner will work collaboratively to pinpoint improvement opportunities, and a dedicated Philips Solution Advisor will help Banner to develop solutions that address areas for improvement. Banner will roll out PerformanceBridge Practice in all 28 of its radiology departments in a two-phased approach, starting with their 16 Arizona and academic sites, then expanding to its 12 radiology departments in five other states.
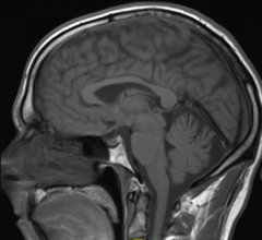
Information from brain magnetic resonance images (MRIs) can help identify people with attention deficit hyperactivity disorder (ADHD) and distinguish among subtypes of the condition, according to a study appearing online in the journal Radiology.
Sixty million women undergo regular screening mammography in the United States, but even in the digital age, it is ...
MEDraysintell recently downgraded its projection for proton therapy rooms expected to be operational in 2030 from 1,200 to 900. The company said this still represents a 12 percent annual growth from 2017 to 2030, and the need to open an average of more than 50 proton therapy treatment rooms every year from 2018 to 2030.
January 09, 2018 